My ITI - Stephen T Chen
My Public Profile
Stephen Chen
Balwyn, Melbourne, Australia
- ITI Honorary Fellow
- registered since 1998
Curriculum Vitae
Stephen Chen is a periodontist in private practice in Melbourne, Australia. He is also a Clinical Associate Professor in Periodontics at the Melbourne Dental School, The University of Melbourne. Stephen Chen graduated from Melbourne University with a Master of Dental Science in 1987, and was awarded a PhD from the same university in 2009. He is past president of the Australia and New Zealand Academy of Periodontists, Australasian Osseointegration Society and Australian Society of Periodontology. Dr. Chen is currently serving as President of the ITI
Academy Author Profile
Stephen Chen is a periodontist in private practice in Melbourne, Australia. He is also a Senior Fellow in the Department of Periodontology at the University of Melbourne. Stephen Chen graduated from Melbourne University with a Master of Dental Science in 1987, and was awarded a PhD from the same university in 2009. He is past president of the Australia and New Zealand Academy of Periodontists, Australasian Osseointegration Society and Australian Society of Periodontology. Dr. Chen is currently serving as President of the ITI.
Academy content by Stephen Chen (39 items)
-
-
Replacement of the Four Maxillary Incisors with a Fixed Dental Prosthesis Using an Early Loading Protocol
Clinical Case Report
-
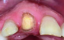
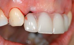
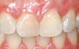
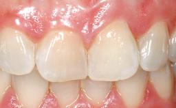
Late Placement of an Implant in a Maxillary Left Central Incisor Site
Clinical Case Report
-
Introduction to Implant Dentistry
Role of Implants in Dentistry
Learning Module
-
Immediate Placement of an Implant in a Maxillary Left Central Incisor Site
Clinical Case Report
-
Immediate Flapless Placement of an Implant in a Maxillary Left Central Incisor Site
Clinical Case Report
-
Surgical Planning and Procedures
Maintenance of the Ridge Post-Extraction
Congress Lecture
-
Introduction to Implant Dentistry
Post-Extraction Ridge Alteration - A Risk for Esthetics
Congress Lecture
-
Surgical Planning and Procedures
Saving or Replacing Implants
Congress Lecture
-
Introduction to Implant Dentistry
Teeth vs. Implants – a Question of Sustainability
Congress Lecture
-
Treatment Outcomes and Continuing Care
Improving the Predictability – Long-term Outcomes with Implants
Congress Lecture
-
Structured Assessment and Treatment Planning
Implant Placement after Tooth Extraction – Selecting the Optimal Time
Congress Lecture
-
Structured Assessment and Treatment Planning
Post-Extraction Healing – Implications for Implant Treatment and Ridge Maintenance
Congress Lecture
-
Immediate Implant Placement: Indications, Surgical and Prosthetic Procedures and Outcomes
Document/Link
-
Replacement of an Upper Right Central Incisor with Root Resorption: Ridge Preservation, Early Placement of an RC Bone Level Implant
Clinical Case Report
-
Treatment Outcomes and Continuing Care
Risk Factors for Biological Complications: Diagnosis and Management
Congress Lecture
-
Introduction to Implant Dentistry
Período de Instalação do Implante após Extração Dental
Learning Module
-
Early Implant Placement with GBR using DBBM
Clinical Case Video
-
Surgical Planning and Procedures
The Challenges of Reduced Diameter Implants
Congress Lecture
-
Introduction to Implant Dentistry
种植体在口腔医学领域中的作用
Learning Module
-
Treatment Outcomes and Continuing Care
Implant Complications – A Looming Epidemic?
Congress Lecture
-
Introduction to Implant Dentistry
拔牙后种植体植入时机
Learning Module
-
Introduction to Implant Dentistry
Papel dos Implantes na Odontologia
Learning Module
-
Introduction to Implant Dentistry
Classifications
Congress Lecture
-
Introduction to Implant Dentistry
Timing of Implant Placement after Tooth Extraction
Learning Module
-
Surgical Planning and Procedures
Implants in Postextraction Sites
Consensus Statement
-
Treatment Outcomes and Continuing Care
Esthetic Outcomes following Immediate and Early Implant Placement in the Anterior Maxilla
Consensus Statement
-
Early (Delayed) Placement of Implants
Congress Lecture
-
Surgical Planning and Procedures
WS2024 - New Digital Possibilities – Simultaneous Implant and Final Bridge Placement
Congress Lecture
-
Structured Assessment and Treatment Planning
Case Discussion: A Complex Multidisciplinary Case
Congress Lecture
-
Structured Assessment and Treatment Planning
Case Discussion: Immediate or Not?
Congress Lecture
-
Surgical Planning and Procedures
The Expanded Edentulous Space in the Anterior Maxilla – Surgical Considerations
Congress Lecture
-
Surgical Planning and Procedures
Simultaneous Contour Augmentation Using GBR
Learning Module
-
WS2024 - Session 5: Panel Discussion on Digital Workflows
Congress Lecture
-
Surgical Planning and Procedures
Incisão Relaxante Periosteal
Learning Module
-
Structured Assessment and Treatment Planning
ITI Decision Tree Immediate Placement and Loading in Partially Edentulous Patients – Single Anterior Teeth
Document/Link
-
Prosthodontic Planning and Procedures
Implant Placement and Loading Protocols
Consensus Statement
-
Surgical Planning and Procedures
骨膜松弛切口 (PRI)
Learning Module
-
Surgical Planning and Procedures
Periosteal Releasing Incision (PRI)
Learning Module
Academy content edited by Stephen Chen (56 items)
-
Surgical Planning and Procedures
Principles for the Management of Peri-Implant Defects
Learning Module
-
Structured Assessment and Treatment Planning
Intraoral Clinical Examinations
Learning Module
-
Surgical Planning and Procedures
Implant Osteotomies
Learning Module
-
Structured Assessment and Treatment Planning
Site-Specific Clinical Examination
Learning Module
-
Surgical Planning and Procedures
Pre- and Postoperative Care and Medications for Implant Surgery
Learning Module
-
Structured Assessment and Treatment Planning
Patient Social Factors
Learning Module
-
Structured Assessment and Treatment Planning
The SAC Classification 1st Edition
Learning Module
-
Structured Assessment and Treatment Planning
Patient Medical Factors
Learning Module
-
Structured Assessment and Treatment Planning
Patient History (Anamnesis)
Learning Module
-
Surgical Planning and Procedures
Oral Anesthesia and Anxiety Control for Implant Surgery
Learning Module
-
Introduction to Implant Dentistry
General Risk Factors and Contraindications for Implant Therapy
Learning Module
-
Introduction to Implant Dentistry
Anatomy with Relevance to Implant Surgery
Learning Module
-
Surgical Planning and Procedures
Surgical Setup for Office-Based Implant Surgery
Learning Module
-
Structured Assessment and Treatment Planning
Structured Assessment and Treatment Planning
Learning Module
-
Treatment Outcomes and Continuing Care
Implant and Prosthesis Survival and Success
Learning Module
-
Treatment Outcomes and Continuing Care
Principles of Evaluating Esthetic Outcomes
Learning Module
-
Treatment Outcomes and Continuing Care
Managing Biological Complications
Learning Module
-
Surgical Planning and Procedures
Minimally Traumatic Extraction Techniques
Learning Module
-
Treatment Outcomes and Continuing Care
Monitoring Peri-Implant Tissue Health
Learning Module
-
Surgical Planning and Procedures
Principles of Guided Bone Regeneration (GBR)
Learning Module
-
Introduction to Implant Dentistry
Healing of the Extraction Socket
Learning Module
-
Structured Assessment and Treatment Planning
Treatment Options, Prognosis and Proposal
Learning Module
-
Structured Assessment and Treatment Planning
Esthetic Risk Assessment
Learning Module
-
Surgical Planning and Procedures
Flap Design
Learning Module
-
Structured Assessment and Treatment Planning
Extraoral Clinical Examinations
Learning Module
-
Prosthodontic Planning and Procedures
Immediate Restoration and Loading
Learning Module
-
Surgical Planning and Procedures
Surgical Assessment of the Implant Site
Learning Module
-
Surgical Planning and Procedures
Biological Principles of Bone Grafting
Learning Module
-
Introduction to Implant Dentistry
Implant-Supported vs. Conventional Fixed Dental Prostheses - Comparison and Outcomes
Learning Module
-
Practising Implant Dentistry and Self Directed Learning
Biosafety in Dental Practice: General Principles
Learning Module
-
Practising Implant Dentistry and Self Directed Learning
Designing and Documenting Your Personal Development Plan
Learning Module
-
Prosthodontic Planning and Procedures
Conventional Implant Impressions for Fixed Dental Prostheses
Learning Module
-
Practising Implant Dentistry and Self Directed Learning
Digital Clinical Photography
Learning Module
-
Practising Implant Dentistry and Self Directed Learning
Selecting an Implant System
Learning Module
-
Treatment Outcomes and Continuing Care
Principles of Managing Hardware Complications Associated with Fixed Dental Prostheses
Learning Module
-
Practising Implant Dentistry and Self Directed Learning
Locating and Evaluating Relevant Scientific Literature
Learning Module
-
Introduction to Implant Dentistry
Implant Designs and Characteristics
Learning Module
-
Prosthodontic Planning and Procedures
Design Principles for Complete Removable Dentures
Learning Module
-
Prosthodontic Planning and Procedures
Prosthodontic Planning Principles for Implant Placement
Learning Module
-
Prosthodontic Planning and Procedures
Transitional Prostheses Used During Implant Therapy
Learning Module
-
Prosthodontic Planning and Procedures
Esthetic Planning for Implant-Supported Fixed Dental Prostheses
Learning Module
-
Prosthodontic Planning and Procedures
Design Principles for FDPs
Learning Module
-
Prosthodontic Planning and Procedures
Abutment Selection for Fixed Dental Prostheses
Learning Module
-
Structured Assessment and Treatment Planning
Additional Diagnostic Investigations
Learning Module
-
Introduction to Implant Dentistry
Tissue Integration of Dental Implants
Learning Module
-
Prosthodontic Planning and Procedures
Complete Removable Overdentures: Implant Configuration and Retention
Learning Module
-
Practising Implant Dentistry and Self Directed Learning
General Dental Knowledge and Clinical Skills for Implant Dentistry
Learning Module
-
Prosthodontic Planning and Procedures
Implant Configurations for Fixed Dental Prostheses
Learning Module
-
Prosthodontic Planning and Procedures
Digital Implant Impression
Learning Module
-
Prosthodontic Planning and Procedures
Occlusion on Fixed Implant Prostheses
Learning Module
-
Prosthodontic Planning and Procedures
Protocol for Fixed Implant Supported Prostheses Delivery
Learning Module
-
Prosthodontic Planning and Procedures
Implant-Supported Provisional Prosthesis
Learning Module
-
Introduction to Implant Dentistry
Loading Protocols
Learning Module
-
Prosthodontic Planning and Procedures
Design Principles for Combining Single Unsplinted Dental Implants and Partial Removable Dental Prostheses (RDPs)
Learning Module
-
Surgical Planning and Procedures
Flap Closure
Learning Module
-
Surgical Planning and Procedures
Surgical Complications and Management
Learning Module
ITI events Stephen Chen has lectured at since 2021
-
Jul 13, 2021
Invitational lecture of Dr. Stephen Chen, former ITI president
Statement on Financial Relationships and Conflict of Interests
Stephen Chen has no financial relationships to disclose regarding authorship of ITI educational content and there are no conflicts of interest.
In case of content marked as "provided by industry partner", the author/speaker was reimbursed by said industry partner.