My ITI - William Christopher Martin
William Martin
University of Florida
Gainesville, United States
- ITI Fellow
- registered since 2002
Curriculum Vitae
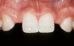
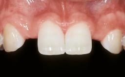
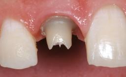
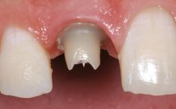
Will Martin, DMD, MS, FACP is a Clinical Professor in the Department of Oral and Maxillofacial Surgery at the University of Florida’s College of Dentistry. He received his DMD from the University of Florida and completed his MS and Certificate in Prosthodontics from Baylor College of Dentistry. Dr. Martin joined the faculty at the University of Florida in 1999 and currently serves as the Director of the Center for Implant Dentistry. Dr. Martin is a Diplomate of the American Board of Prosthodontics and a fellow of the American College of Prosthodontists, International Team for Implantology and Associate Fellow of the Academy of Prosthodontics. Dr. Martin has authored numerous peer-reviewed scientific articles and abstracts. He has co-authored several textbooks on implant dentistry, specifically the ITI Treatment Guides Vol. 1 and 10, S.A.C. Classification in Implant Dentistry (1st Edition) and most recently the 2nd Edition. He is the past Chairman of the Section USA of the ITI and maintains a part-time practice limited to Prosthodontics within the Center for Implant Dentistry. He lectures both nationally and internationally on esthetic and implant dentistry.
Practice address
Center for Implant Dentistry
1395 Cetner Drive
Room D7-6
32610 Gainesville, Florida
United States
E-mail [email protected]