
Replacement of Multiple Teeth in a Partially Dentate Posterior Mandible with a Fixed Dental Prosthesis Using an Early Loading Protocol - Clinical Case Report - Home
Clinical Case Report
Replacement of Multiple Teeth in a Partially Dentate Posterior Mandible with a Fixed Dental Prosthesis Using an Early Loading Protocol
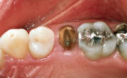
In 2002, a 27-year-old female patient was referred to our clinic for the treatment of her failing dentition. The patient’s medical history revealed no significant findings that would preclude routine dental procedures. She reported no drug allergies and was currently taking no medications. Her dental history was restricted to operative dentistry that addressed several areas of recurrent decay. The patient was on a periodontal recall and home care program that continually fell short of maintaining a healthy dentition.The patient’s chief complaint was: “My teeth often break, and they are sensitive when I eat and drink.”

- Surgical SAC classification
- Advanced
- Prosthodontic SAC classification
- Straightforward
- Source
- Treatment Guide 2
- Purchase price
- 10 Academy Coins
- CPD/CME
- 0.15 hours
Share this page
Download the QR code with a link to this page and use it in your presentations or share it on social media.
Download QR code