
Replacement of a Maxillary Right Second Premolar Using an Early Loading Protocol - Clinical Case Report - Home
Clinical Case Report
Replacement of a Maxillary Right Second Premolar Using an Early Loading Protocol
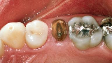
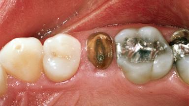
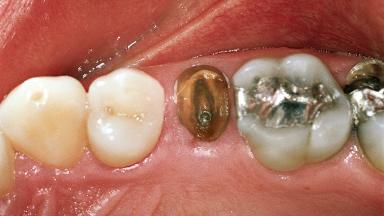
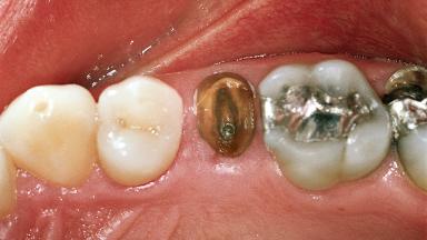
In February 2002, a 31-year-old non-smoking male patient was referred by his dentist after the fracture of the crown of the maxillary right second premolar, tooth 15. The fracture line was located apically to the gingival margin, particularly on the palatal side. Radiographic examination revealed the presence of a previous endodontic treatment with a non-ideal apical seal. There were no signs of periapical osteolysis. The level of the interproximal bone was normal. The patient’s medical history did not reveal any significant findings and he was in good general health.

- Surgical SAC classification
- Advanced
- Prosthodontic SAC classification
- Straightforward
- Source
- Treatment Guide 2
- Purchase price
- 10 Academy Coins
- CPD/CME
- 0.15 hours
Share this page
Download the QR code with a link to this page and use it in your presentations or share it on social media.
Download QR code