Repeated Acrylic Fractures on a Mandibular Fixed Full-arch Implant-supported Metal/Acrylic Prosthesis - Clinical Case Report - Home
Clinical Case Report
Repeated Acrylic Fractures on a Mandibular Fixed Full-arch Implant-supported Metal/Acrylic Prosthesis
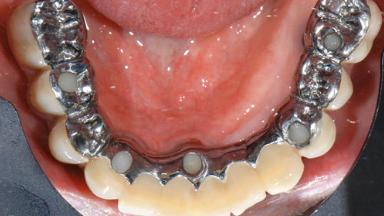
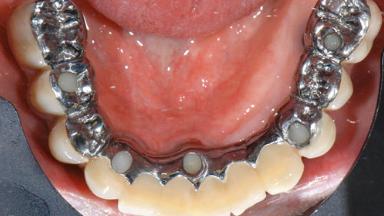
A 77-year-old male patient was referred for the management of frequent and repeated acrylic fracture of his existing mandibular fixed full-arch implant-supported metal/acrylic prosthesis. He also complained about softtissue soreness and the lack of retention and stability of his maxillary removable partial metal/acrylic prosthesis. Both prostheses had been delivered two years previously as part of his full-mouth rehabilitation (caries, tooth wear, tooth fracture). His medical history revealed high blood pressure, controlled with the use of antihypertensive medication.
- Surgical SAC classification
- Advanced
- Prosthodontic SAC classification
- Complex
- Source
- Treatment Guide 8
- Purchase price
- 10 Academy Coins
- CPD/CME
- 0.25 hours
Share this page
Download the QR code with a link to this page and use it in your presentations or share it on social media.
Download QR code