Case

0.0The average rating is 0 stars out of 5.

Repeated Acrylic Fractures on a Mandibular Fixed Full-arch Implant-supported Metal/Acrylic Prosthesis

Janice Kan

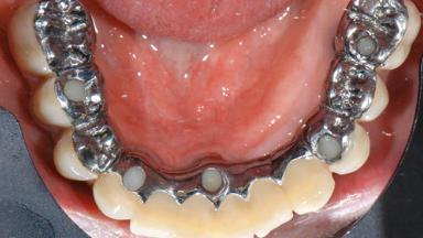
A 77-year-old male patient was referred for the management of frequent and repeated acrylic fracture of his existing mandibular fixed full-arch implant-supported metal/acrylic prosthesis. He also complained about softtissue soreness and the lack of retention and stability of his maxillary removable partial metal/acrylic prosthesis. Both prostheses had been delivered two years previously as part of his full-mouth rehabilitation (caries, tooth wear, tooth fracture). His medical history revealed high blood pressure, controlled with the use of antihypertensive medication.

Surgical SAC classification
Advanced
Prosthodontic SAC classification
Complex
Source
Treatment Guide 8
Purchase price
10 Academy Coins
CPD/CME
0.25 hours

General information

Case Type Edentulous Mandible
Jaw Mandible
Area Full-Arch
# of Teeth All
# of Implants 5
Type of Implants Two-Piece
Attachment Two-Piece
Bone Augmentation No
Augmentation Materials -
Guided Surgery No
Soft Tissue Grafting None
Abutment Type CAD/CAM
Prosthesis Type FDP

Esthetic Risk Assessment

Esthetic Risk Factors Low Medium High
Medical Status Healthy Compromised
Smoking Habit Non-smoker Light smoker (< 10 cigarettes per day) Heavy smoker (>= 10 cigarettes per day)
Patient's Esthetic Expectations Low Medium High
Lip Line No exposure of papillae Exposure of papillae Full exposure of mucosa margin
Periodontal Phenotype Low-scalloped, thick Medium-scalloped, medium-thick High-scalloped, thin
Shape of Tooth Crowns Rectangular Triangular
Infection at Implant Site None Chronic Acute
Bone Level at Adjacent Teeth <= 5 mm to contact point 5.5 to 6.5 mm to contact point > 7 mm to contact point
Prosthodontic Status of Neighboring Teeth Virgin Restored
Width of Edentulous Span 1 tooth (>= 7 mm) 1 tooth (< 7 mm) 2 teeth or more
Soft Tissue Anatomy Intact Defective
Bone Volume Horizontally and vertically sufficient Horizontally deficient Deficient vertically or deficient vertically AND horizontally
  • * General SAC assessment modifiers that are also part of the ERA. To avoid redundancy they are listed in this section even if no complete ERA has been made.

  • ** Not applicable to the ERA of immediate placement cases and replaced by "Socket Integrity" listed below under "Surgical SAC Classification". For all other placement types this value is a classification determinant and listed here even if no complete ERA has been made.

Surgical SAC classification

SAC Level Advanced
Defining Characteristics Fully edentulous lower jaw to be rehabilitated with two or more implants
Modality > 4 implants, extending to mental nerve region
Placement Protocol -
Tooth Site -
Socket Morphology -
Socket Integrity -
Bone Volume Horizontally and vertically sufficient
Anatomic Risk Moderate
Esthetic Risk Low
Complexity Moderate
Risk of Complications Moderate

Prosthodontic SAC classification

SAC Level Complex
Defining Characteristics Fully edentulous lower jaw to be rehabilitated with an implant-borne fixed dental prosthesis
Loading Protocol Conventional/early
Retention Screw-retained, with 4 or more splinted implants Screw-retained, with 4 or more splinted implants
Maxillomandibular Relationship -
Mesio-Distal Space -
Inter-Arch Distance Excessive (mechanical leverage issues) or restricted (space for components)
Bruxism Present
Esthetic Risk Low
Provisional Implant-Supported Prosthesis Prosthodontic margin < 3 mm apical to mucosal crest Prosthodontic margin < 3 mm apical to mucosal crest
Interim Prosthesis during Healing Removable Removable
Occlusion/Articulation -
Occlusal Scheme/Issues Anterior guidance

Surgical SAC Modifiers

Periodontal Status History of periodontitis or genetic predisposition

Prosthodontic SAC Modifiers

Soft Tissue Contour and Volume -

General SAC Modifiers

Oral Hygiene and Compliance Insufficient
Access Adequate
Craniofacial/Skeletal Growth Completed
Publication date: May 30, 2016 Last review date: May 24, 2023 Next review date: May 24, 2026

ITI QR code Mvc

Share this page

Download the QR code with a link to this page and use it in your presentations or share it on social media.

Download QR code
QR code