Congress Lecture

0.0The average rating is 0 stars out of 5.
Prosthodontic Planning and Procedures

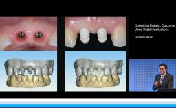
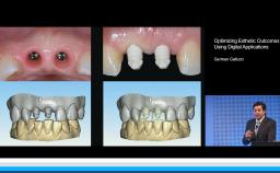
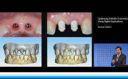
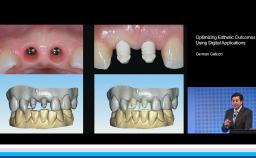
Loading Protocols in the Digital Era – Part II: Edentulous Jaws – Fixed and Overdenture

German Gallucci

In this lecture, the second of a two-part series, German Gallucci discusses how overall treatment times can be shortened by careful selection of the appropriate loading protocol and the use of digital workflows. Using a series of clinical cases to illustrate major points, he discusses the clinical recommendations of the 2013 ITI Consensus Conference, and how digital workflows – digital planning, guided implant placement, and digital impressions – can be used to achieve optimal patient-centric outcomes in implant treatment plans. This presentation focuses mainly on full-arch fixed dental prostheses for edentulous patients; implant-supported and implant-retained overdentures are briefly discussed.

At the end of this Congress Lecture you should be able to…

  • define immediate, early, and conventional loading protocols
  • define the concepts of treatment regulators and risk factors, and their relevance to the three types of loading protocols
  • list the applications where immediate, early, and conventional loading protocols might be applied to fixed implant-supported prostheses in edentulous patients
  • describe the method by which transitional implants or remaining teeth may be used to assist in managing the transition from a tooth-borne to an implant-borne dentition
  • define the loading protocol best suited to the implant-supported and/or implant-retained overdenture
Duration
53 minutes
Source
ITI Congress UK & Ireland 2015
CPD/CME
0.88 hours
Purchase price
26 Academy Coins
Publication date: Nov 26, 2015 Last review date: Nov 27, 2022 Next review date: Nov 27, 2025
  • 3 - Proficient to Expert
  • Assessment & Diagnosis
  • Congress Lecture
  • English
  • FDP
  • Languages
  • Patient Factors & Compliance
  • Prosthesis Design
  • Prosthodontic Planning & Procedures
  • Prosthodontics
  • Provisional Prostheses
  • RDP

ITI QR code Mvc

Share this page

Download the QR code with a link to this page and use it in your presentations or share it on social media.

Download QR code
QR code