Loading Protocols in the Digital Era – Part II: Edentulous Jaws – Fixed and Overdenture - Congress Lectures - Home
Loading Protocols in the Digital Era – Part II: Edentulous Jaws – Fixed and Overdenture
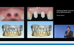
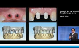
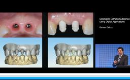
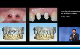
In this lecture, the second of a two-part series, German Gallucci discusses how overall treatment times can be shortened by careful selection of the appropriate loading protocol and the use of digital workflows. Using a series of clinical cases to illustrate major points, he discusses the clinical recommendations of the 2013 ITI Consensus Conference, and how digital workflows – digital planning, guided implant placement, and digital impressions – can be used to achieve optimal patient-centric outcomes in implant treatment plans. This presentation focuses mainly on full-arch fixed dental prostheses for edentulous patients; implant-supported and implant-retained overdentures are briefly discussed.
At the end of this Congress Lecture you should be able to…
- define immediate, early, and conventional loading protocols
- define the concepts of treatment regulators and risk factors, and their relevance to the three types of loading protocols
- list the applications where immediate, early, and conventional loading protocols might be applied to fixed implant-supported prostheses in edentulous patients
- describe the method by which transitional implants or remaining teeth may be used to assist in managing the transition from a tooth-borne to an implant-borne dentition
- define the loading protocol best suited to the implant-supported and/or implant-retained overdenture
- Duration
- 53 minutes
- Source
- ITI Congress UK & Ireland 2015
- CPD/CME
- 0.88 hours
- Purchase price
- 26 Academy Coins
Share this page
Download the QR code with a link to this page and use it in your presentations or share it on social media.
Download QR code