Congress Lecture

0.0The average rating is 0 stars out of 5.
Surgical Planning and Procedures

Implantatverlust mit Defektsituation: Erneute Implantation oder Alternativtherapie?

Dieter Weingart

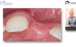
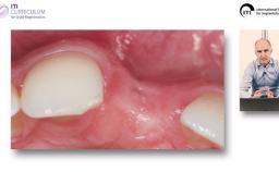
Basierend auf diversen Studien und eigener klinischer Erfahrung stellt Dieter Weingart seine Erkenntnisse und Schlussfolgerungen zum Thema Implantatverlust mit Defektbildung vor. Er illustriert das Thema mit eigenen klinischen Fällen inklusive Langzeit-follow-ups.

Nach dieser Vorlesung sollten Sie…

  • die Empfehlung einer erneuten implantologischen Versorgung nach Implantatverlust mit Defektbildung diskutieren können
  • Erfolgs- und Risikofaktoren einer erneuten Implantation benennen können
Duration
20 minutes
Source
ITI Congress Germany 2018
CPD/CME
0.33 hours
Purchase price
10 Academy Coins
Publication date: Dec 10, 2020 Last review date: Dec 3, 2022 Next review date: Dec 3, 2025
  • 3 - Proficient to Expert
  • Congress Lecture
  • German
  • Languages
  • Surgical Planning & Procedures

ITI QR code Mvc

Share this page

Download the QR code with a link to this page and use it in your presentations or share it on social media.

Download QR code
QR code