
Replacement of an Upper Right Central Incisor with a Regular Neck Implant, Restored with a Ceramo-Metal Crown, Transocclusally Screw-Retained - Clinical Case Report - Home
Clinical Case Report
Replacement of an Upper Right Central Incisor with a Regular Neck Implant, Restored with a Ceramo-Metal Crown, Transocclusally Screw-Retained
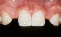
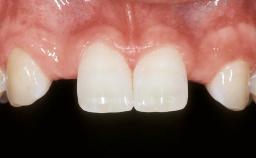
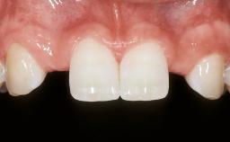
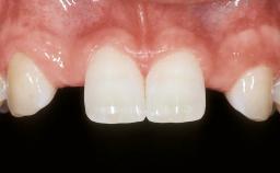
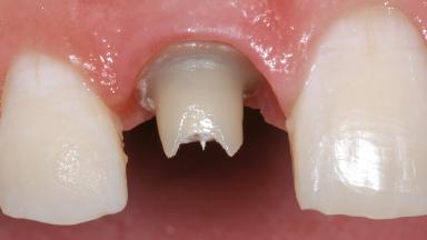
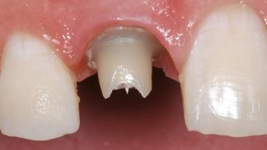
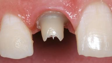
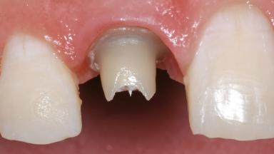
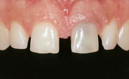
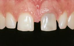
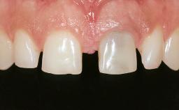
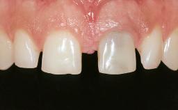
A healthy 32-year-old male patient presented at the clinic for a consultation on treatment options to replace his failing central incisors and retained deciduous canine. This case review addresses the treatment of the central incisors. At full smile, the patient exhibited a medium lip line with tapered clinical crowns and a thin-gingiva biotype. A retracted view of the central incisors showed a discrepancy in the gingival margin positions of teeth 11 and 21. A radiographic examination revealed that teeth 11 and 21 were subject to external and internal resorption and that an impacted canine was present. A clinical and radiographic examination showed good circumferential bone support of the anterior teeth. A detailed examination was performed to determine the esthetic risk profile for this patient.

- Surgical SAC classification
- Complex
- Prosthodontic SAC classification
- Advanced
- Source
- Treatment Guide 1
- Purchase price
- 10 Academy Coins
- CPD/CME
- 0.15 hours
Share this page
Download the QR code with a link to this page and use it in your presentations or share it on social media.
Download QR code