
Replacement of a Congenitally Missing Upper Left Lateral Incisor with a Narrow Neck Implant, Restored with a Ceramo-Metal Crown, Transocclusally Screw-Retained - Clinical Case Report - Home
Clinical Case Report
Replacement of a Congenitally Missing Upper Left Lateral Incisor with a Narrow Neck Implant, Restored with a Ceramo-Metal Crown, Transocclusally Screw-Retained
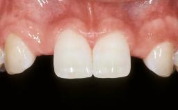
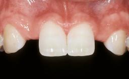
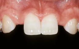
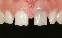
An 18 year-old female patient, a non-smoker,presented in 1999 during orthodontic treatment with a tooth gap in position 22 due to a congenitally missing permanent tooth 22 and a peg-shaped permanent tooth 12. Orthodontic treatment had started four years before, when the patient was 14 years old, to correct a complex situation by maxillary expansion in combination with a bracket treatment. The patient had been referred by the orthodontist for clarification of a possible implant therapy to define the ideal size of the tooth gap at site 22 as well as the necessary root parallelization for implant placement,i.e. final minor orthodontic corrections to create an ideal situation for implant placement.

- Surgical SAC classification
- Advanced
- Prosthodontic SAC classification
- Advanced
- Source
- Treatment Guide 1
- Purchase price
- 10 Academy Coins
- CPD/CME
- 0.15 hours
Share this page
Download the QR code with a link to this page and use it in your presentations or share it on social media.
Download QR code