 
                                    Immediate Loading of Six Implants in the Mandible and Six Implants in the Maxilla and Final Restoration with Full-Arch CAD/CAM Metal Framework FDPs Involving Digital Planning and Guided Surgery - Clinical Case Report - Home
Clinical Case Report
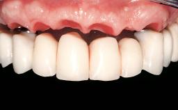
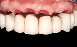
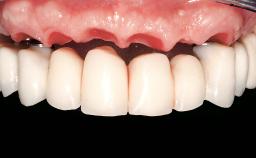
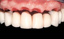
Immediate Loading of Six Implants in the Mandible and Six Implants in the Maxilla and Final Restoration with Full-Arch CAD/CAM Metal Framework FDPs Involving Digital Planning and Guided Surgery
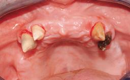
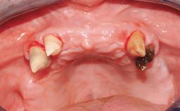
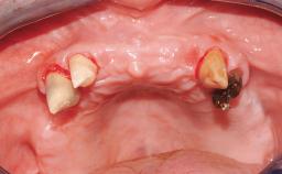
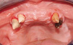
Immediate loading of dental implants is increasingly popular with clinicians and patients. The idea of delivering a restoration directly after implant insertion,combined with a less invasive procedure (flapless protocol), has made treatment protocols involving dental implants more accessible to dentists and patients. However,immediate-loading concepts require sophisticated and exact planning. To facilitate this, conventional panoramic tomographs and periapical radiographs are often taken with the patient wearing a radiographic template simulating the preoperative prosthetic design. However, these radiographs do not provide all the necessary information. In addition, some protocols call for conventional surgical templates fabricated on the diagnostic cast. These will inform the bone drilling points and drill angles, but do not reference the underlying anatomical structures or provide exact 3-D guidance.
 
                    - Surgical SAC classification
- Complex
- Prosthodontic SAC classification
- Complex
- Source
- Treatment Guide 4
- Purchase price
- 10 Academy Coins
- CPD/CME
- 0.25 hours
Share this page
Download the QR code with a link to this page and use it in your presentations or share it on social media.
Download QR code 
                                     
                                    