
Oral Rehabilitation Planning: Conventional vs Digital - Congress Lectures - Home
Oral Rehabilitation Planning: Conventional vs Digital
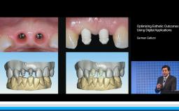
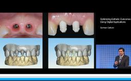
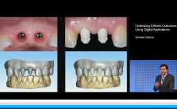
Current developments in the field of digital dentistry are leading to a rethink in the way clinicians provide prosthetic treatment. The decisions on implant position, face analysis, esthetic risk assessment, surgery, and prosthodontic protocols, can be carried out totally or partially using digital tools. However, scientific evidence is poor regarding many digital procedures and many of them should be implemented with caution.
The main objective of this presentation is to analyze these new trends and to discuss their benefits, based on different patient needs.

At the end of the presentation, the participant should be able to
- outline the importance of facial analysis to diagnosis and planning
- prescribe digital planning tools with the aim of improving the accuracy of such diagnoses
- define the clinical and lab steps from planning to the final restoration
- Duration
- 15 minutes
- Source
- World Symposium 2021
- CPD/CME
- 0.25 hours
- Purchase price
- 8 Academy Coins
Share this page
Download the QR code with a link to this page and use it in your presentations or share it on social media.
Download QR code