Congress Lecture

0.0The average rating is 0 stars out of 5.
Prosthodontic Planning and Procedures

Oral Rehabilitation Planning: Conventional vs Digital

Diego Bechelli

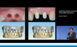
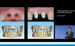
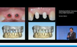
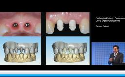
Current developments in the field of digital dentistry are leading to a rethink in the way clinicians provide prosthetic treatment. The decisions on implant position, face analysis, esthetic risk assessment, surgery, and prosthodontic protocols, can be carried out totally or partially using digital tools. However, scientific evidence is poor regarding many digital procedures and many of them should be implemented with caution.

The main objective of this presentation is to analyze these new trends and to discuss their benefits, based on different patient needs.


At the end of the presentation, the participant should be able to

  • outline the importance of facial analysis to diagnosis and planning
  • prescribe digital planning tools with the aim of improving the accuracy of such diagnoses
  • define the clinical and lab steps from planning to the final restoration


Duration
15 minutes
Source
World Symposium 2021
CPD/CME
0.25 hours
Purchase price
8 Academy Coins
Publication date: Nov 6, 2023 Last review date: Oct 30, 2023 Next review date: Oct 30, 2026
  • Congress Lecture
  • English
  • Languages
  • Prosthodontic Planning & Procedures

ITI QR code Mvc

Share this page

Download the QR code with a link to this page and use it in your presentations or share it on social media.

Download QR code
QR code