Management of a Fractured Implant Supporting a Screw-retained Metal-ceramic Restoration - Clinical Case Report - Home
Clinical Case Report
Management of a Fractured Implant Supporting a Screw-retained Metal-ceramic Restoration
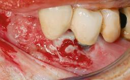
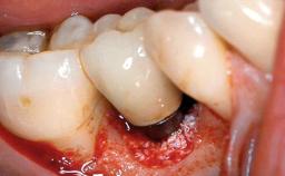
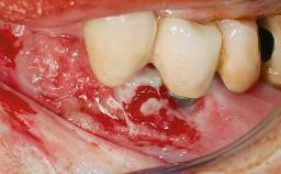
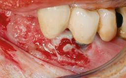
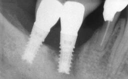
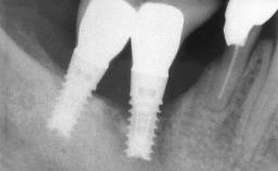
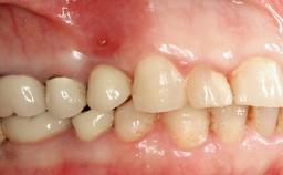
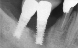
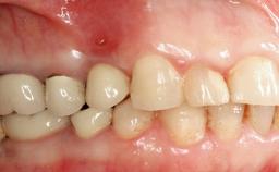
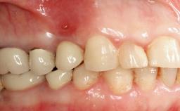
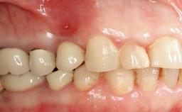
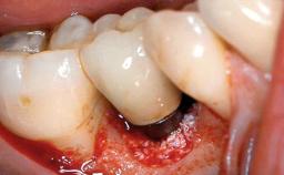
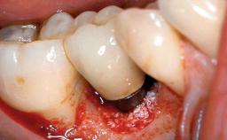
The fracture of an implant after it has been restored is one of the most severe complications. It most frequently occurs in partially edentulous jaws (1.5%). Most implant fractures involve implants with a diameter of 3.75 mm made of commercially pure titanium (Eckert 2010). Unfortunately, many cases are not reported or documented by the clinicians involved in resolving the problems created by the fracture. This case report describes the management of an implant fracture at site 36 in a middle-aged male patient. The implant had been restored with a screw-retained metal-ceramic crown.
- Surgical SAC classification
- Straightforward
- Prosthodontic SAC classification
- Straightforward
- Source
- Treatment Guide 8
- Purchase price
- 10 Academy Coins
- CPD/CME
- 0.25 hours
Share this page
Download the QR code with a link to this page and use it in your presentations or share it on social media.
Download QR code