Case

0.0The average rating is 0 stars out of 5.

Peri-implantitis Modified by Submucosal Excess of Cement: Regenerative Peri-implantitis Therapy and Six-year Follow-up

Giovanni E. Salvi

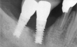
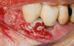
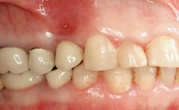
A 30-year-old female patient was referred to the Department of Periodontology of the University of Bern, Switzerland, by a dentist in private practice. Tooth 45 had been congenitally missing and had been replaced with a titanium implant three years prior to the first visit at the Department of Periodontology. The tissue level implant had a diameter of 4.1 mm, a length of 12 mm, and a sandblasted and acid-etched (SLA) surface (Straumann® Dental Implant System; Institut Straumann AG, Basel, Switzerland). The metal-ceramic crown on implant 45 had been cemented permanently. Implant 45 had been diagnosed with peri-implantitis by the referring dentist in the course of regular supportive care.

Surgical SAC classification
Straightforward
Prosthodontic SAC classification
Straightforward
Source
Treatment Guide 8
Purchase price
10 Academy Coins
CPD/CME
0.25 hours

General information

Case Type Single-Tooth Space
Jaw Mandible
Area Posterior
# of Teeth 1
# of Implants 1
Type of Implants One-Piece
Attachment One-Piece
Bone Augmentation No
Augmentation Materials -
Guided Surgery No
Soft Tissue Grafting None
Abutment Type Standard
Prosthesis Type FDP

Esthetic Risk Assessment

Esthetic Risk Factors Low Medium High
Medical Status Healthy Compromised
Smoking Habit Non-smoker Light smoker (< 10 cigarettes per day) Heavy smoker (>= 10 cigarettes per day)
Patient's Esthetic Expectations Low Medium High
Lip Line No exposure of papillae Exposure of papillae Full exposure of mucosa margin
Periodontal Phenotype Low-scalloped, thick Medium-scalloped, medium-thick High-scalloped, thin
Shape of Tooth Crowns Rectangular Triangular
Infection at Implant Site None Chronic Acute
Bone Level at Adjacent Teeth <= 5 mm to contact point 5.5 to 6.5 mm to contact point > 7 mm to contact point
Prosthodontic Status of Neighboring Teeth Virgin Restored
Width of Edentulous Span 1 tooth (>= 7 mm) 1 tooth (< 7 mm) 2 teeth or more
Soft Tissue Anatomy Intact Defective
Bone Volume Horizontally and vertically sufficient Horizontally deficient Deficient vertically or deficient vertically AND horizontally
  • * General SAC assessment modifiers that are also part of the ERA. To avoid redundancy they are listed in this section even if no complete ERA has been made.

  • ** Not applicable to the ERA of immediate placement cases and replaced by "Socket Integrity" listed below under "Surgical SAC Classification". For all other placement types this value is a classification determinant and listed here even if no complete ERA has been made.

Surgical SAC classification

SAC Level Straightforward
Defining Characteristics One missing tooth to be replaced by an implant-borne prosthesis
Modality -
Placement Protocol Early or late implant placement
Tooth Site -
Socket Morphology -
Socket Integrity -
Bone Volume Horizontally and vertically sufficient
Anatomic Risk Low
Esthetic Risk Low
Complexity Low
Risk of Complications Low

Prosthodontic SAC classification

SAC Level Straightforward
Defining Characteristics One missing tooth to be replaced by an implant-borne crown
Loading Protocol Conventional or early
Retention Cemented, with prosthesis margin < 3mm submucosal Cemented, with prosthesis margin < 3mm submucosal
Maxillomandibular Relationship -
Mesio-Distal Space Anatomic space corresponding to the missing tooth +/- 1 mm
Inter-Arch Distance Ideal tooth height +/- 1 mm
Bruxism Absent
Esthetic Risk Low
Provisional Implant-Supported Prosthesis - -
Interim Prosthesis during Healing - -
Occlusion/Articulation -
Occlusal Scheme/Issues -

Surgical SAC Modifiers

Periodontal Status Healthy

Prosthodontic SAC Modifiers

Soft Tissue Contour and Volume -

General SAC Modifiers

Oral Hygiene and Compliance Good
Access Adequate
Craniofacial/Skeletal Growth Completed
Publication date: Feb 25, 2016 Last review date: Feb 19, 2023 Next review date: Feb 19, 2026

ITI QR code Mvc

Share this page

Download the QR code with a link to this page and use it in your presentations or share it on social media.

Download QR code
QR code