Prosthetic Solutions for Vertical Tissue Deficiencies - Congress Lectures - Home
Prosthetic Solutions for Vertical Tissue Deficiencies
This lecture addresses the clinical challenges of addressing vertical tissue deficiencies in patients with esthetic demands. A literature review is presented that highlights publications that address treatment of patients with compromised esthetic situations due to these tissue deficiencies.
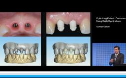
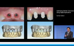
The speaker offers clinical recommendations to address single- and extended-tooth situations that require pink tissue replacement, with the goal of creating harmonious soft tissue contours and balanced relative tooth dimensions. Advantages and disadvantages to prosthetic tissue replacement are also covered in detail.
At the end of this Congress Lecture you should be able to…
- diagnose vertical tissue deficiencies that will require prosthetic tissue replacement
- understand prosthetic limitations to addressing vertical deficiencies
- discuss clinical techniques to overcome missing tissue around implants
- understand the limitations and requirements for establishing ideal contours of the prosthetic tissue replacement that can be maintained by the patient
- Duration
- 32 minutes
- Source
- ITI World Symposium 2014
- CPD/CME
- 0.53 hours
- Purchase price
- 16 Academy Coins
Share this page
Download the QR code with a link to this page and use it in your presentations or share it on social media.
Download QR code