Congress Lecture

0.0The average rating is 0 stars out of 5.
Prosthodontic Planning and Procedures

Interdisciplinary Esthetic Approach

Diego Bechelli

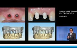
Esthetically challenging cases often involve two or more specialized clinicians working together throughout the treatment phases. This step-by-step cooperation is crucial to arriving at a pleasing esthetic result. This lecture presents various situations of compromised teeth and implants in which an interdisciplinary approach and modification are indicated. The rationale for predictable treatment and some clinical tips are also discussed.

At the end of this Congress Lecture you should be able to…

  • describe the esthetic risk factors for treatment of the anterior region
  • discuss tissue modification around teeth and implants
  • indicate the different uses of ceramics as final prostheses
Duration
15 minutes
Source
ITI World Symposium 2017
CPD/CME
0.27 hours
Purchase price
8 Academy Coins
Publication date: Sep 6, 2018 Last review date: Aug 29, 2023 Next review date: Aug 29, 2026
  • 3 - Proficient to Expert
  • Congress Lecture
  • English
  • Languages
  • Prosthodontic Planning & Procedures

ITI QR code Mvc

Share this page

Download the QR code with a link to this page and use it in your presentations or share it on social media.

Download QR code
QR code