Treatment of Peri-Implantitis at a Zirconia Implant - Clinical Case Report - Home
Clinical Case Report
Treatment of Peri-Implantitis at a Zirconia Implant
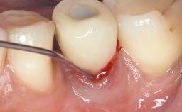
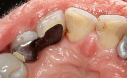
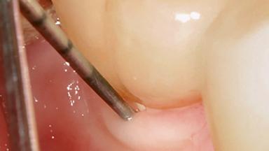
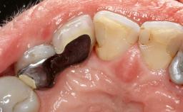
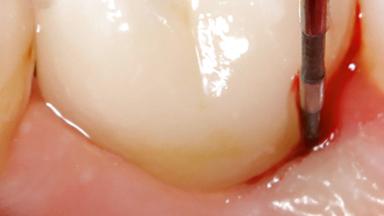
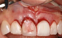
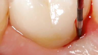
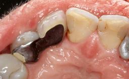
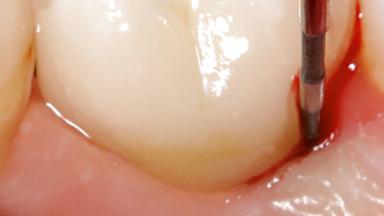
Due to their promising clinical performance, zirconia implants have recently become popular alternatives to titanium implants, particularly for areas with high esthetic demands (Holländer and coworkers 2016; Roehling and coworkers 2016; Lorenz and coworkers 2019). However, regardless of the reported high survival and success rates, zirconia implants were affected by peri-implant diseases over the short observation period, suggesting the importance of treating peri-implant diseases at zirconia implants (Becker and coworkers 2017). In their case, Frank Schwarz and Ausra Ramanauskaite present 3-year results following mechanical debridement alongside Er:YAG laser monotherapy.
- Surgical SAC classification
- -
- Prosthodontic SAC classification
- -
- Source
- Treatment Guide 13
- Purchase price
- 10 Academy Coins
- CPD/CME
- 0.25 hours
Share this page
Download the QR code with a link to this page and use it in your presentations or share it on social media.
Download QR code