Case

5.0The average rating is 5 stars out of 5.

Improving an Existing Implant-supported Denture in an Alzheimer Patient with Bipolar Affective Disorder with Moderate Depression and Dementia

Ulrike Stephanie Webersberger

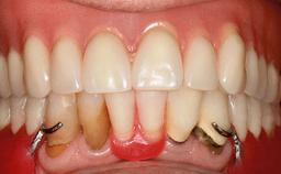
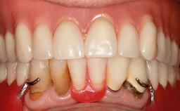
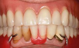
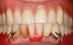
An 83-year-old man presented together with his caregiver at the dental department of the Medical University of Innsbruck, Austria with complaints of swelling in the right maxillary canine area and loss of retention of his 5-years-old mandibular denture. The patient had a significant medical history (20 years) of bipolar affective disorder with moderate depression (F 31.3) and dementia in Alzheimer’s disease (F 00.2). The patient had been in ambulant psychiatric therapy for his depressive illness for the past 20 years. He lived alone and had no children; his sister assisted with daily living. She reported that the patient exhibited compulsive hoarding behavior. In the previous two months, she had noted increasing disorientation and vertigo in the patient. She therefore accompanied him for a medical consultation at the Department of Psychiatry and Psychotherapy of the Medical University of Innsbruck. He was released home after a 6-week inpatient stay.

Surgical SAC classification
Straightforward
Prosthodontic SAC classification
Advanced
Source
Treatment Guide 9
Purchase price
10 Academy Coins
CPD/CME
0.25 hours

General information

Case Type Edentulous Mandible
Jaw Mandible
Area Full-Arch
# of Teeth All
# of Implants 2
Type of Implants One-Piece
Attachment One-Piece
Bone Augmentation No
Augmentation Materials -
Guided Surgery No
Soft Tissue Grafting None
Abutment Type Standard
Prosthesis Type RDP

Esthetic Risk Assessment

Esthetic Risk Factors Low Medium High
Medical Status Healthy Compromised
Smoking Habit Non-smoker Light smoker (< 10 cigarettes per day) Heavy smoker (>= 10 cigarettes per day)
Patient's Esthetic Expectations Low Medium High
Lip Line No exposure of papillae Exposure of papillae Full exposure of mucosa margin
Periodontal Phenotype Low-scalloped, thick Medium-scalloped, medium-thick High-scalloped, thin
Shape of Tooth Crowns Rectangular Triangular
Infection at Implant Site None Chronic Acute
Bone Level at Adjacent Teeth <= 5 mm to contact point 5.5 to 6.5 mm to contact point > 7 mm to contact point
Prosthodontic Status of Neighboring Teeth Virgin Restored
Width of Edentulous Span 1 tooth (>= 7 mm) 1 tooth (< 7 mm) 2 teeth or more
Soft Tissue Anatomy Intact Defective
Bone Volume Horizontally and vertically sufficient Horizontally deficient Deficient vertically or deficient vertically AND horizontally
  • * General SAC assessment modifiers that are also part of the ERA. To avoid redundancy they are listed in this section even if no complete ERA has been made.

  • ** Not applicable to the ERA of immediate placement cases and replaced by "Socket Integrity" listed below under "Surgical SAC Classification". For all other placement types this value is a classification determinant and listed here even if no complete ERA has been made.

Surgical SAC classification

SAC Level Straightforward
Defining Characteristics Fully edentulous lower jaw to be rehabilitated with two or more implants
Modality 2 interforaminal implants
Placement Protocol -
Tooth Site -
Socket Morphology -
Socket Integrity -
Bone Volume Horizontally and vertically sufficient
Anatomic Risk Low
Esthetic Risk Low
Complexity Low
Risk of Complications Low

Prosthodontic SAC classification

SAC Level Advanced
Defining Characteristics Fully edentulous lower jaw to be rehabilitated with an implant-borne removable overdenture
Loading Protocol Conventional/early
Retention - -
Maxillomandibular Relationship -
Mesio-Distal Space -
Inter-Arch Distance -
Bruxism Absent
Esthetic Risk Low
Provisional Implant-Supported Prosthesis - -
Interim Prosthesis during Healing Removable Removable
Occlusion/Articulation -
Occlusal Scheme/Issues Balanced

Surgical SAC Modifiers

Periodontal Status History of periodontitis or genetic predisposition

Prosthodontic SAC Modifiers

Soft Tissue Contour and Volume -

General SAC Modifiers

Oral Hygiene and Compliance Insufficient
Access Adequate
Craniofacial/Skeletal Growth Completed
Publication date: Jan 8, 2017 Last review date: Jan 2, 2023 Next review date: Jan 2, 2026

ITI QR code Mvc

Share this page

Download the QR code with a link to this page and use it in your presentations or share it on social media.

Download QR code
QR code