Immediate Placement of an Implant in a Mandibular First Molar Site - Clinical Case Report - Home
Clinical Case Report
Immediate Placement of an Implant in a Mandibular First Molar Site
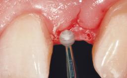
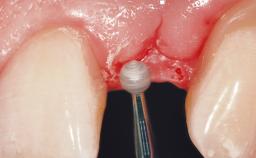
A 32-year-old male patient in good general health, a nonsmoker, presented with a very large carious lesion in the mandibular left first molar (tooth 36). The probing depth around the molar was between 1 and 2 mm. This tooth was considered hopeless for three reasons: The carious lesion at the level of the root furcation that could lead to tooth fracture, the tooth was extruded because of the loss of almost the entire crown. As a result, the crown-to-root ratio was unfavorable and maintaining the tooth by means of crown lengthening would lead to furcation exposure. Based on these considerations, tooth extraction and immediate implant placement (Type 1) was planned in agreement with the patient. Immediate placement offers an obvious advantage to the patient, as the time interval between tooth extraction and the placement of the final restoration is minimized. Additionally, patient morbidity is reduced.
- Surgical SAC classification
- Advanced
- Prosthodontic SAC classification
- Straightforward
- Source
- Treatment Guide 3
- Purchase price
- 10 Academy Coins
- CPD/CME
- 0.25 hours
Share this page
Download the QR code with a link to this page and use it in your presentations or share it on social media.
Download QR code