Immediate Loading of Six Implants in the Maxilla and Final Restoration with a Full-Arch Gold/Ceramic FDP Involving the Concept of Tilted Implants - Clinical Case Report - Home
Clinical Case Report
Immediate Loading of Six Implants in the Maxilla and Final Restoration with a Full-Arch Gold/Ceramic FDP Involving the Concept of Tilted Implants
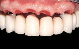
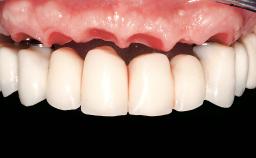
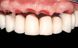
A 61-year-old male patient with a failing fixed maxillary rehabilitation and a fixed mandibular rehabilitation requested a new fixed maxillary rehabilitation. The patient was wearing a temporary metal-reinforced maxillary bridge inserted two years before the consultation. He reported that his previous dentist did not want to insert a definitive framework because he considered the residual teeth to have a negative prognosis. The patient reported a history of recurrent caries and endodontic complications as the main reason for the previous extractions. The anamnesis was negative for periodontal disease and bruxism. The patient’s chief compliant was the mobility of his maxillary prosthesis, which needed to be re-cemented frequently, and discomfort during chewing.Moreover, the patient was not satisfied with the esthetic appearance of his maxillary teeth, which he found too long. The patient asked for a stable and comfortable fixed maxillary rehabilitation and firmly rejected any removable solution.
- Surgical SAC classification
- Complex
- Prosthodontic SAC classification
- Complex
- Source
- Treatment Guide 4
- Purchase price
- 10 Academy Coins
- CPD/CME
- 0.25 hours
Share this page
Download the QR code with a link to this page and use it in your presentations or share it on social media.
Download QR code