
GBR and Soft-Tissue Augmentation Following Explantation to Rehabilitate a Soft- and Hard-Tissue Defect - Clinical Case Report - Home
Clinical Case Report
GBR and Soft-Tissue Augmentation Following Explantation to Rehabilitate a Soft- and Hard-Tissue Defect
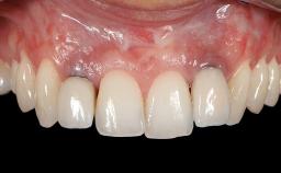
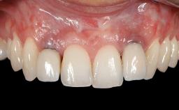
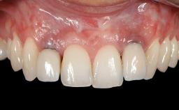
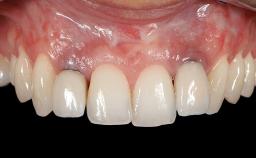
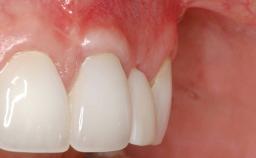
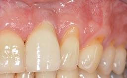
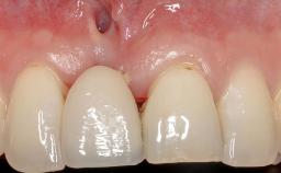
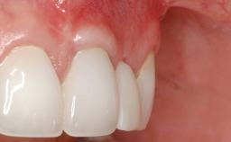
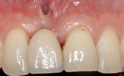
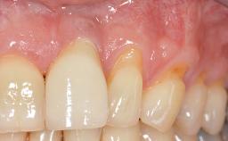
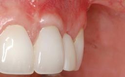
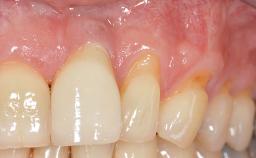
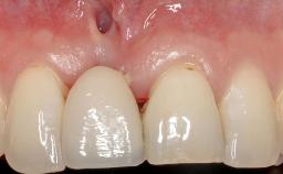
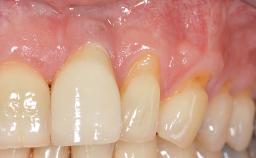
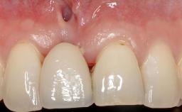
It is sometimes necessary to remove and replace compromised implants. This case is a clear example of the need for multiple steps to achieve an optimal therapeutic result for patients with non-salvageable implants. It illustrates how the lost soft and hard tissues were rebuilt in a sequence that improved the healing of the hard tissues and assured their long-term stability. The 35-year-old healthy patient presented with clinical attachment loss on the proximal and lingual surfaces of the natural dentition. Some gingival recession was present on natural teeth, particularly in the posterior sextants (S1, S3, S4, and S6).

- Surgical SAC classification
- Complex
- Prosthodontic SAC classification
- Complex
- Source
- Treatment Guide 12
- Purchase price
- 10 Academy Coins
- CPD/CME
- 0.25 hours
Share this page
Download the QR code with a link to this page and use it in your presentations or share it on social media.
Download QR code