
Flapless Guided Surgery: Bar-supported Overdenture on Four Implants - Clinical Case Report - Home
Clinical Case Report
Flapless Guided Surgery: Bar-supported Overdenture on Four Implants
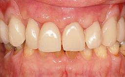
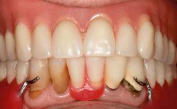
A female patient, born in 1934, medically compromised (Renton and coworkers 2013) (ASA III: history of CVAs, arrhythmia, high blood pressure, type 2 diabetes mellitus, hypothyroid, arthroses, and hyperventilation) presented at our clinic. Her remaining maxillary dentition had had to be extracted some years ago due to multiple periapical infections; since then, the patient had been functioning with a conventional maxillary denture. This denture had been giving her problems in terms of function, eating, and digesting food. She lived at a considerable distance from the clinic. Despite the pain while wearing and using the denture, she kept her spirits and hoped for a different solution. She wished for more comfort and better chewing ability; at the time, she could not visit friends or have dinner in a restaurant with her conventional denture.

- Surgical SAC classification
- Straightforward
- Prosthodontic SAC classification
- Complex
- Source
- Treatment Guide 9
- Purchase price
- 10 Academy Coins
- CPD/CME
- 0.25 hours
Share this page
Download the QR code with a link to this page and use it in your presentations or share it on social media.
Download QR code