Replacement of Multiple Teeth in a Partially Dentate Posterior Maxilla with a Fixed Dental Prosthesis and a Crown Using Conventional Loading Protocols - Clinical Case Report - Home
Clinical Case Report
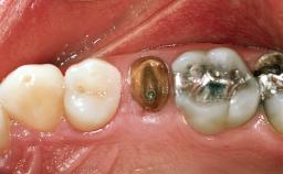
Replacement of Multiple Teeth in a Partially Dentate Posterior Maxilla with a Fixed Dental Prosthesis and a Crown Using Conventional Loading Protocols
This 65-year-old female patient presented for implantbased restoration of the maxillary posterior region (25–27). Although this patient was free of medical compromise, her treatment was associated with several modifying factors. She had been a patient of record in the practice for more than twenty years. Her initial treatment included extraction of the failing maxillary left first molar, and restoration with a fixed dental prosthesis (25–27) and crown (24). At the time of initial restoration, implants were not considered appropriate options for the replacement of single posterior teeth.
- Surgical SAC classification
- Complex
- Prosthodontic SAC classification
- Advanced
- Source
- Treatment Guide 2
- Purchase price
- 10 Academy Coins
- CPD/CME
- 0.15 hours
Share this page
Download the QR code with a link to this page and use it in your presentations or share it on social media.
Download QR code