
Implant-Supported Prostheses from a Long-Term Perspective - What Works and What Does Not - Congress Lectures - Home
Implant-Supported Prostheses from a Long-Term Perspective - What Works and What Does Not
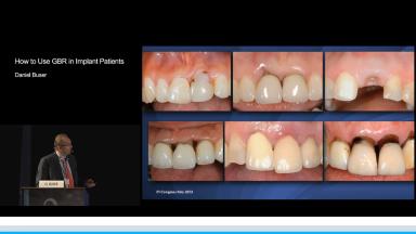
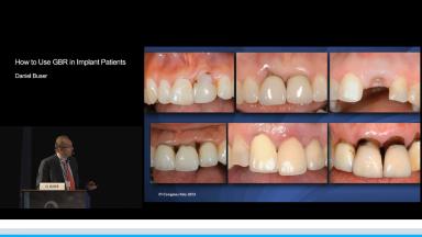
The management of complications with dental implants and implant prostheses is a part of clinical practice today. To reduce the risk for biological, technical or mechanical complications as much as possible, it is important to follow scientific and/or clinical evidence when planning, designing and performing implant prosthodontics dental rehabilitations.
This lecture addresses a number of frequently asked questions in the field and attempts to provide evidence based answers to them. They include the (minimal) number of implants, implant selection, safety and efficacy of short implants, single unit or splinted restorations, implant-tooth connections, cantilevers, type of retention, and material choice.

At the end of this Congress Lecture you should be able to…
- recognize the need for using better assessment criteria when reporting implant treatment outcomes
- apply various implant prosthodontic options in different indications that are supported by literature evidence
- realize that the management of complications with implants and prostheses has become part of today’s clinical practice
- Duration
- 58 minutes
- Source
- ITI Congress Australasia 2013
- CPD/CME
- 0.96 hours
- Purchase price
- 29 Academy Coins
Share this page
Download the QR code with a link to this page and use it in your presentations or share it on social media.
Download QR code