Rehabilitating an Edentulous Maxilla with a Fixed Dental Prosthesis Following Provisional Immediate Loading - Clinical Case Report - Home
Clinical Case Report
Rehabilitating an Edentulous Maxilla with a Fixed Dental Prosthesis Following Provisional Immediate Loading
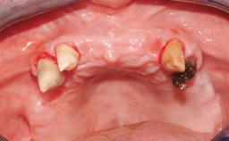
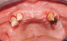
This case features the flapless computer-guided placement of 7 bone-level implants, distributed to provide maximal support for the prosthetic framework. A rigid one-piece metallic framework was utilized as an interim restoration to reduce the risk of fracture associated with this prosthetic design. As part of the clinical examination, the SAC Assessment Tool was used, resulting in a surgical and restorative risk classification as “complex”.
- Surgical SAC classification
- Complex
- Prosthodontic SAC classification
- Complex
- Purchase price
- 10 Academy Coins
- CPD/CME
- 0.25 hours
Share this page
Download the QR code with a link to this page and use it in your presentations or share it on social media.
Download QR code