
The Interdisciplinary Treatment Plan in Implant Dentistry ‒ What the Surgeon Needs to Know from the Prosthodontist - Congress Lectures - Home
The Interdisciplinary Treatment Plan in Implant Dentistry ‒ What the Surgeon Needs to Know from the Prosthodontist
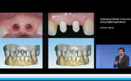
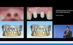
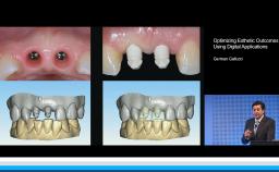
Part one of a two-part presentation gives a comprehensive overview of how to treat complex cases using an interdisciplinary approach in implant dentistry. From the prosthodontist’s point of view, the workflow starts with careful prosthetic planning by the use of wax-ups or set-ups, and in some cases orthodontic pretreatment is indicated. This lecture demonstrates how the prosthetic planning is then transferred by surgical templates to facilitate the correct 3D prosthodontically driven implant placement. In this workflow, the provisional prosthesis conditions the soft tissue in order to optimize esthetics prior to finalizing the prosthetic rehabilitation. This lecture includes a series of ‘Prosthetic Rules’ to serve as benchmarks for effective prosthodontically driven treatment.

At the end of this Congress Lecture you should be able to…
- discuss the need for a multidisciplinary approach integrating prosthetic and surgical issues in implant dentistry
- describe the workflow of careful prosthetic planning, surgical templates during implant placement, provisional prosthesis with soft tissue conditioning, and final rehabilitation
- Duration
- 61 minutes
- Source
- ITI Congress Turkey & Azerbaijan 2016
- CPD/CME
- 1.03 hours
- Purchase price
- 31 Academy Coins
Share this page
Download the QR code with a link to this page and use it in your presentations or share it on social media.
Download QR code