Monolithic vs. Veneered Implant Reconstructions - Congress Lectures - Home
Monolithic vs. Veneered Implant Reconstructions
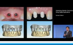
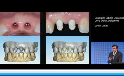
This lecture presents a concept for choosing the type of reconstruction and material for highly esthetic outcomes. Due to the number of restorative possibilities, the selection of an ‘ideal’ material is getting more and more complex. Advantages of all-ceramic materials over traditional metal-ceramics include their tooth-like color and their enamel-like translucency. The main limitation of ceramics is their brittleness, leading to a risk for fracture during clinical service. This lecture discusses the development of modern ceramics with increased stability to reduce this risk, with a focus on high-strength ceramic zirconia and its potential as an alternative to metal. For the processing of zirconia, numerous computer-aided manufacturing procedures are available today. Moreover, multiple clinical studies show promising results for zirconia-based tooth and implant reconstructions.
At the end of this Congress Lecture you should be able to…
- explain the advantages and disadvantages of all-ceramic reconstructions
- discuss the clinical applications of high-strength zirconia
- describe the CAD/CAM processing of zirconia reconstructions
- Duration
- 14 minutes
- Source
- ITI World Symposium 2017
- CPD/CME
- 0.23 hours
- Purchase price
- 7 Academy Coins
Share this page
Download the QR code with a link to this page and use it in your presentations or share it on social media.
Download QR code