Congress Lecture

5.0The average rating is 5 stars out of 5.
Prosthodontic Planning and Procedures

Digital Workflow for Fixed Implant Rehabilitation of the Edentulous Jaw

German Gallucci

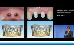
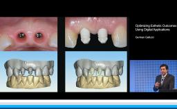
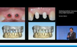
This lecture describes the treatment approach using a digital workflow for fixed implant rehabilitation of edentulous jaws. Treatment sequence, implant number and distribution, and the implant-prosthetic design are all thoroughly discussed. The speaker presents a detailed approach to full-arch rehabilitation using the digital workflow, which includes immediate loading with fixed screw-retained provisional prostheses during the healing phase. Other techniques presented include use of transitional implants and segmentation of full-arch prostheses. Evidence is presented on digital versus conventional implant impressions and the anterior-posterior distribution of implants in relation to survival.

At the end of this Congress Lecture you should be able to…

  • describe the appropriate number and location of implants in the fixed rehabilitation of the edentulous patient
  • discuss the advantages of virtual planning to reduce risk of failures
  • describe the various approaches in rehabilitating the edentulous patient using the digital work flow
  • describe an alternative method to immediate loading using fixed screw-retained provisional prostheses
Duration
45 minutes
Source
ITI Congress Middle East 2018
CPD/CME
0.77 hours
Purchase price
23 Academy Coins
Publication date: May 3, 2019 Last review date: Apr 26, 2023 Next review date: Apr 26, 2026
  • 3 - Proficient to Expert
  • Congress Lecture
  • English
  • Languages
  • Prosthodontic Planning & Procedures

ITI QR code Mvc

Share this page

Download the QR code with a link to this page and use it in your presentations or share it on social media.

Download QR code
QR code