
Treatment of Soft-Tissue Fenestration in the Esthetic Zone - Clinical Case Report - Home
Clinical Case Report
Treatment of Soft-Tissue Fenestration in the Esthetic Zone
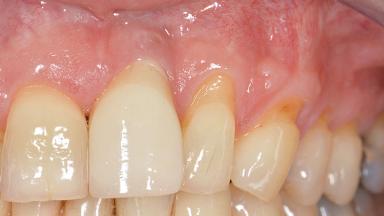
This case demonstrates that a connective-tissue graft in combination with a coronally positioned graft is an effective method of treating cases with peri-implant mucositis and an abutment-level sinus abscess. A 42-year-old man presented with a swelling adjacent to an implant crown at site 21. The swelling had been present for approximately three weeks and was constrained to the buccal and palatal gingival aspects of the implant. A discharge was noted on finger pressure, with localized gingival recession present on the mid- and distolabial aspects of the crown.

- Surgical SAC classification
- Advanced
- Prosthodontic SAC classification
- Complex
- Source
- Treatment Guide 12
- Purchase price
- 10 Academy Coins
- CPD/CME
- 0.25 hours
Share this page
Download the QR code with a link to this page and use it in your presentations or share it on social media.
Download QR code