Case

0.0The average rating is 0 stars out of 5.

Peri-implant Carcinoma

Maximilian Moergel, Peer Wolfgang Kämmerer, Bilal Al-Nawas

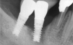
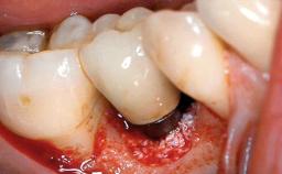
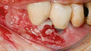
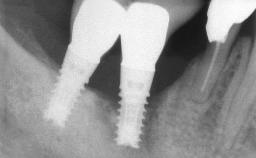
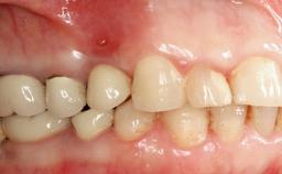
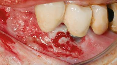
Oral implants are highly successful and offer long-term benefits, especially in the rehabilitation of edentulous patients or patients with oral defects following ablative tumor surgery (Albrektsson and coworkers 1986), and also after radiation therapy (Schiegnitz and coworkers 2014). With the number of implants placed globally going into the millions, implant dentists have observed some rare adverse events. Although carcinogenesis around implants is an exceedingly rare phenomenon, we recently reported about 15 patients treated for carcinomas adjacent to implants at our clinical department over a period of fifteen years (Moergel and coworkers 2014). The following case represents a patient of this cohort; it discusses possible risk factors and makes suggestions for a recall schedule. A 70-year-old woman was referred to our outpatient department for evaluation of a rapidly growing macroscopic alteration of the mucosa in the left mandible.

Surgical SAC classification
Straightforward
Prosthodontic SAC classification
Straightforward
Source
Treatment Guide 8
Purchase price
10 Academy Coins
CPD/CME
0.25 hours

General information

Case Type Extended Space
Jaw Mandible
Area Posterior
# of Teeth 7
# of Implants 4
Type of Implants One-Piece
Attachment One-Piece
Bone Augmentation No
Augmentation Materials -
Guided Surgery No
Soft Tissue Grafting None
Abutment Type Standard
Prosthesis Type FDP

Esthetic Risk Assessment

Esthetic Risk Factors Low Medium High
Medical Status Healthy Compromised
Smoking Habit Non-smoker Light smoker (< 10 cigarettes per day) Heavy smoker (>= 10 cigarettes per day)
Patient's Esthetic Expectations Low Medium High
Lip Line No exposure of papillae Exposure of papillae Full exposure of mucosa margin
Periodontal Phenotype Low-scalloped, thick Medium-scalloped, medium-thick High-scalloped, thin
Shape of Tooth Crowns Rectangular Triangular
Infection at Implant Site None Chronic Acute
Bone Level at Adjacent Teeth <= 5 mm to contact point 5.5 to 6.5 mm to contact point > 7 mm to contact point
Prosthodontic Status of Neighboring Teeth Virgin Restored
Width of Edentulous Span 1 tooth (>= 7 mm) 1 tooth (< 7 mm) 2 teeth or more
Soft Tissue Anatomy Intact Defective
Bone Volume Horizontally and vertically sufficient Horizontally deficient Deficient vertically or deficient vertically AND horizontally
  • * General SAC assessment modifiers that are also part of the ERA. To avoid redundancy they are listed in this section even if no complete ERA has been made.

  • ** Not applicable to the ERA of immediate placement cases and replaced by "Socket Integrity" listed below under "Surgical SAC Classification". For all other placement types this value is a classification determinant and listed here even if no complete ERA has been made.

Surgical SAC classification

SAC Level Straightforward
Defining Characteristics More than three missing teeth to be replaced with an implant-borne prosthesis or prostheses
Modality -
Placement Protocol Early or late implant placement
Tooth Site -
Socket Morphology -
Socket Integrity -
Bone Volume Horizontally and vertically sufficient
Anatomic Risk Low
Esthetic Risk Low
Complexity Moderate
Risk of Complications Low

Prosthodontic SAC classification

SAC Level Straightforward
Defining Characteristics Up to three missing teeth to be replaced with an implant-borne restoration or restorations
Loading Protocol Conventional or early
Retention Cemented, with prosthesis margin < 3mm submucosal Cemented, with prosthesis margin < 3mm submucosal
Maxillomandibular Relationship -
Mesio-Distal Space Anatomic space corresponding to the missing teeth +/- 1 mm
Inter-Arch Distance > 8 mm
Bruxism Absent
Esthetic Risk Low
Provisional Implant-Supported Prosthesis Prosthodontic margin < 3 mm apical to mucosal crest Prosthodontic margin < 3 mm apical to mucosal crest
Interim Prosthesis during Healing - -
Occlusion/Articulation Harmonious
Occlusal Scheme/Issues -

Surgical SAC Modifiers

Periodontal Status History of periodontitis or genetic predisposition

Prosthodontic SAC Modifiers

Soft Tissue Contour and Volume -

General SAC Modifiers

Oral Hygiene and Compliance Sufficient
Access Adequate
Craniofacial/Skeletal Growth Completed
Publication date: Mar 29, 2016 Last review date: Mar 24, 2023 Next review date: Mar 24, 2026

ITI QR code Mvc

Share this page

Download the QR code with a link to this page and use it in your presentations or share it on social media.

Download QR code
QR code