Implant Placement with Simultaneous SFE: Transcrestal Technique with DBBM - Clinical Case Report - Home
Clinical Case Report
Implant Placement with Simultaneous SFE: Transcrestal Technique with DBBM
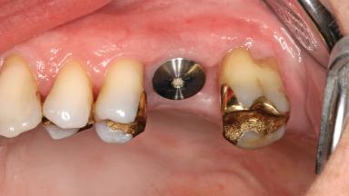
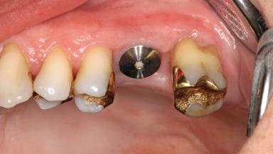
The patient was an 87-year-old woman with no general diseases, no medication, no allergies, and a non-smoker. Her maxillary left first molar had been extracted 6 weeks previously due to a root fracture. The clinical examination revealed a complete dentition, except for the maxillary left first molar, which was missing. Generalized but mild horizontal bone loss without any pathologic periodontal pockets was observed. Oral hygiene was good. Both the second premolar and the second molar had been restored with adequate gold inlays and showed 2 mm of gingival recession facing the edentulous site. The course of healing had been uneventful after extraction of the maxillary left first molar, and the width of the alveolar process was intact.
- Surgical SAC classification
- Complex
- Prosthodontic SAC classification
- Straightforward
- Source
- Treatment Guide 5
- Purchase price
- 10 Academy Coins
- CPD/CME
- 0.25 hours
Share this page
Download the QR code with a link to this page and use it in your presentations or share it on social media.
Download QR code