Immediate Implant Placement with Static Computer-Aided Implant Surgery and Immediate Loading in the Esthetic Zone with Prefabricated CAD/CAM Provisional Implant Restorations - Clinical Case Report - Home
Case
Clinical Case Report
Immediate Implant Placement with Static Computer-Aided Implant Surgery and Immediate Loading in the Esthetic Zone with Prefabricated CAD/CAM Provisional Implant Restorations
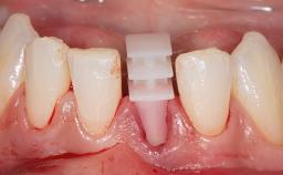
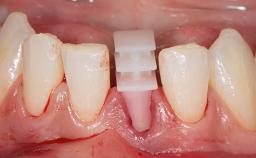
This case from Alejandro Lanis, Luiz Henrique Gonzaga, and Adam Hamilton demonstrates how s-CAIS accurately transfers the virtual treatment plan to the surgical site. In cases where immediacy is indicated, s-CAIS is considered the gold standard to obtain a precise and adequate 3D implant position.
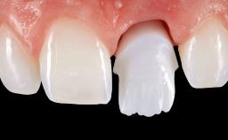
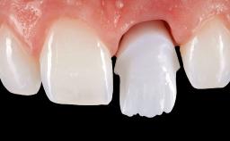
The type 1A protocol for immediate implant placement and immediate loading is defined as a surgical and prosthodontic procedure where dental implants are placed in the extraction socket on the same day the tooth is extracted and a restoration is delivered immediately (Morton and coworkers 2018; Gallucci and coworkers 2018). In the esthetic zone, the success of this approach depends on several factors, such as an adequate diagnosis, appropriate patient selection, favorable alveolar anatomy, suitable conditions at and characteristics of the surgical site, and proper training and sufficient experience on the part of the clinician (Levine and coworkers 2017; Chappuis and coworkers 2013; Belser and coworkers 2009; Chen and Buser 2014).
- Surgical classification
- Complex
- Prosthodontic classification
- Complex
- Source
- Treatment Guide 14
- Purchase price
- 10 Academy Coins
- CPD/CME
- 0.25 hours
Recommended content
General Risk Assessment
| Patient-related Factors | |
|---|---|
| Smoking Habit | None |
| Oral hygiene | Good |
| Compliance | Good |
| Patient's Expectations | High but achievable |
| Patient-medical Factors | |
| Medical Status | Healthy, uneventful healing |
| Medical Fitness | Healthy, able to undergo planned anesthesia and surgical procedure (ASA I) |
| Medications | No medications that would negatively affect the surgical procedure and outcomes. |
| Radiation Treatment | None |
| Growth Status | Complete |
| Site-related Factors | |
| Periodontal Status | No history of periodontal disease, or any active periodontal disease. |
| Access | Adequate |
| Pathology near the implant site | None |
| Previous surgeries in planned implant site | No previous procedures. |
Surgical Classification
| Surgical Complexity | |
|---|---|
| Timing of placement | Immediate Placement (extraction sockets) (Type I) |
| Simultaneous or Staged grafting procedures | Implant placement with simultaneous hard and soft tissue procedures |
| Number of implants | Two - Three |
| Anatomy | |
| Bone Volume - Horizontal | Adequate |
| Bone Volume - Vertical | Adequate |
| Keratinized Tissue | Sufficient (>4 mm) |
| Soft Tissue Quality | No scars or inflammation |
| Proximity to vital anatomic structures | Minimal risk of involvement |
| Adjacent Teeth | |
| Papilla | Complete |
| Recession | Absent |
| Interproximal attachment | At CEJ |
| Extractions | |
| Radicular morphology | Uniradicular |
| Available apical bone to achieve primary stability | Sufficient height ( ≥ 4 mm) and width (> 2 mm around apex of planned implant) |
| Socket walls | Intact |
| Thickness of buccal wall | 2mm or greater |
| Anticipated residual defect after implant placement | 2 mm or less |
Prosthodontic Classification
| Complicating Factors | |
|---|---|
| Biological | Screw-retained restorations with appropriate contours |
| Mechanical/Technical | Absence of contributing factors |
| Planned contour of tissue-fitting surfaces | Appropriate contours (hygienic - accessible for maintenance) |
| Prosthesis Factors | |
| Prosthetic volume | Adequate. Space available for ideal anatomy of the restoration |
| Inter-occlusal space | Adequate. Capable to create an anatomically & functionally correct planned restoration |
| Volume and characteristics of the edentulous ridge (fixed) | Adequate. No adjunctive therapy or prosthetic soft tissue replacement will be necessary |
| Esthetic Factors | |
| Gingival display at full smile | High |
| Shape of tooth crowns | Rectangular |
| Restorative status of neighboring teeth | Virgin |
| Gingival Phenotype | Low-scalloped, thick |
| Bone level on adjacent teeth | ≤5 mm to contact point |
| Occlusal Factors | |
| Occlusal scheme | User-defined occlusal scheme achievable |
| Involvement in occlusion | Involved with guidance |
| Occlusal parafunction | Absent |
| Complexity | |
| Loading Protocol | Immediate |
| Implant-supported provisional restoration | Required, elevated esthetic and/or functional demands |
| Timing of placement | Immediate Placement (extraction sockets) (Type I) |
Esthetic Risk Assessment
| Esthetic Risk Assessment | |
|---|---|
| Medical Status | Healthy, uneventful healing |
| Smoking Habit | None |
| Gingival display at full smile | High |
| Width of edentulous span | 1 tooth (≥ 7mm, standard diameter implant) 1 Tooth (≥ 6mm, narrow diameter implant) |
| Shape of tooth crowns | Rectangular |
| Restorative status of neighboring teeth | Virgin |
| Gingival Phenotype | Low-scalloped, thick |
| Infection at implant site | None |
| Bone level on adjacent teeth | ≤5 mm to contact point |
| Thickness of buccal wall | 2mm or greater |
| Patient's Expectations | High but achievable |
- 3 - Proficient to Expert
- Clinical Case
- Treatment Guide 14
ITI QR code Mvc
Share this page
Download the QR code with a link to this page and use it in your presentations or share it on social media.
Download QR code