Peri-Implant Mucositis Associated with Misfit of a Cemented Restoration - Clinical Case Report - Home
Clinical Case Report
Peri-Implant Mucositis Associated with Misfit of a Cemented Restoration
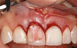
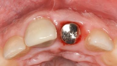
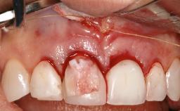
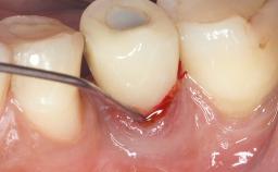
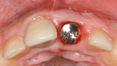
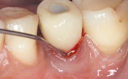
A 37-year-old male patient was referred to the Department of Periodontology at the University of Bern, Switzerland, by a private dentist. Tooth 21 had been lost due to trauma and had been replaced with an implant and a cemented single crown. The tapered-effect tissue-level implant had a diameter of 4.1 mm, a length of 12 mm, and a sandblasted and acid-etched (SLA) surface (Straumann Dental lmplant System; Institut Straumann AG, Basel, Switzerland). The metal-ceramic crown had been cemented permanently, leaving a submucosal gap between the implant shoulder and the crown margin. Absence of marginal bone loss apical to the polished transmucosal neck of the implant could be observed .
- Surgical SAC classification
- -
- Prosthodontic SAC classification
- -
- Source
- Treatment Guide 13
- Purchase price
- 10 Academy Coins
- CPD/CME
- 0.25 hours
Share this page
Download the QR code with a link to this page and use it in your presentations or share it on social media.
Download QR code