Virtual Implant Treatment Planning - Congress Lectures - Home
Virtual Implant Treatment Planning
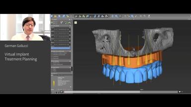
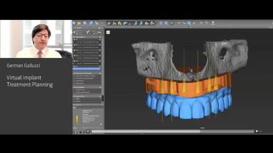
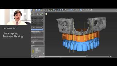
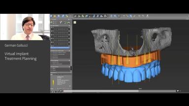
This is a recording of German Gallucci´s webinar on Academy live. Clinical considerations and indications for dental implants are analyzed in the context of their direct application to implant-prosthetic rehabilitations using digital technology. Risk assessment, treatment planning, placement and loading protocols and esthetic/prosthodontic rehabilitations are discussed in detail according to different clinical situations. Recommended planning steps and treatment procedures will be presented through scientific evidence. Modern Implant-prosthetic restorations using different implant designs and digital technology call for a harmonious integration with the pre-existing environment. In this context, biologic considerations affecting normal peri-implant soft tissue integration will be discussed as a major esthetic parameter.
This is the first webinar of the series “Digital Workflow 101 with Harvard professor German Gallucci”. The second one can be found here: Digitally Assisted Implant Prosthodontics
At the end of this Congress Lecture you should be able to…
- discuss current trends in virtual implant planning
- assess digital tools for suitable treatment planning
- widen treatment planning options using a selective approach
- Duration
- 50 minutes
- Source
- ITI Academy live webinar
- CPD/CME
- 0.83 hours
- Purchase price
- 25 Academy Coins
Share this page
Download the QR code with a link to this page and use it in your presentations or share it on social media.
Download QR code