Congress Lecture

0.0The average rating is 0 stars out of 5.
Surgical Planning and Procedures

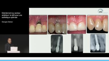
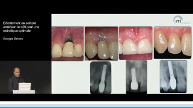
Edentement au secteur anterieur: le défi pour une esthetique optimale

Georges Wadih Gebran

A partir de la description des facteurs de risque esthétique du bloc incisivo-canin maxillaire, de la présence d’os et de gencive autour des implants, le conférencier présente une succession de cas cliniques décrivant ses procédures chirurgicales et prothétiques.

À la fin de cette présentation, vous devriez être en mesure… 

  • de déterminer le bon timing de chirurgie implantaire post extractionnelle
  • de réfléchir sur la préservation à moyen-long terme de l’os autour des implants
Duration
34 minutes
Source
ITI Congress Francophone 2018
CPD/CME
0.57 hours
Purchase price
17 Academy Coins
Publication date: Jan 24, 2019 Last review date: Jan 17, 2023 Next review date: Jan 17, 2026
  • Assessment & Diagnosis
  • Bone Management
  • Congress Lecture
  • Early Placement with Bone Healing
  • Early Placement with Soft Tissue Healing
  • Esthetic Risk Assessment
  • French
  • Immediate Placement
  • Languages
  • Late Placement
  • Placement Protocols
  • Prosthodontics
  • Ridge Preservation
  • Risk Assessment
  • Risk Factors
  • Surgery
  • Surgical Planning & Procedures

ITI QR code Mvc

Share this page

Download the QR code with a link to this page and use it in your presentations or share it on social media.

Download QR code
QR code