Congress Lecture

5.0The average rating is 5 stars out of 5.
Prosthodontic Planning and Procedures

Demystifying the Implant Abutment for Successful Clinical Outcomes: A Clinicians Viewpoint

Robert G Oretti

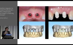
This lecture describes a well documented case series on the effect of different abutment designs for single tooth implant restorations. The long term crestal bone level changes were analyzed retrospectively to understand the good or bad effects of abutment designs and materials. R. Oretti, with his clinical experience, provides clinical recommendations regarding the abutment designs while treating single missing teeth either with a tissue level or a bone level implant. Insights on the abutment material selection, implant-abutment junctional wear, and the ideal abutment contours are explained to achieve the long-term success of the implant restorations.

At the end of this Congress Lecture you should be able to…

  • explain abutment design and material considerations for long-term clinical success
  • recognize the implant-abutment junctional architecture and emergence profile for clinically favorable soft tissue contours
  • recognize the selection criteria and the influence of the tissue level versus bone level implants to achieve long term success
  • discuss the types of superstructures in restoring edentulous short spans either by joining adjacent single implant crowns, splinting them together or providing an implant supported bridge
Duration
40 minutes
Source
ITI Congress UK & Ireland 2021
CPD/CME
0.67 hours
Purchase price
20 Academy Coins
Publication date: Oct 25, 2022 Last review date: Oct 18, 2023 Next review date: Oct 18, 2026
  • 1 - Beginner
  • Congress Lecture
  • English
  • Languages
  • Prosthodontic Planning & Procedures

ITI QR code Mvc

Share this page

Download the QR code with a link to this page and use it in your presentations or share it on social media.

Download QR code
QR code