
Implant-retained Rehabilitation after Mandibular Rim Resection - Clinical Case Report - Home
Clinical Case Report
Implant-retained Rehabilitation after Mandibular Rim Resection
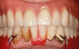
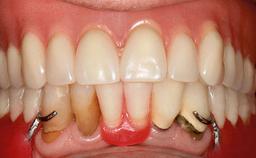
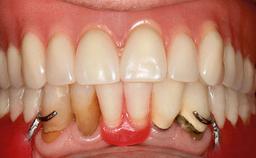
A 77-year-old woman was referred to our department by an oral and maxillofacial surgeon for rehabilitation of her dentition. She had been diagnosed with squamous cell carcinoma 6 months earlier and was treated surgically by right mandibular rim resection and local floor-ofmouth resection extending to tooth 33. No radiotherapy or chemotherapy had been considered necessary. The patient complained that she was unable to eat and that her face was disfigured due to a lack of lip support on the resection side. She reported a history of well-controlled asthma and angina, in addition to cardiac arrhythmia and an allergy to penicillin. Her medication included acetylsalicylic acid and diltiazem.

- Surgical SAC classification
- Straightforward
- Prosthodontic SAC classification
- Advanced
- Source
- Treatment Guide 9
- Purchase price
- 10 Academy Coins
- CPD/CME
- 0.25 hours
Share this page
Download the QR code with a link to this page and use it in your presentations or share it on social media.
Download QR code