Le Fort I Interpositional Graft and Mandibular Sandwich Osteotomy for Maxillofacial Rehabilitation after Severe Periodontitis - Clinical Case Report - Home
Clinical Case Report
Le Fort I Interpositional Graft and Mandibular Sandwich Osteotomy for Maxillofacial Rehabilitation after Severe Periodontitis
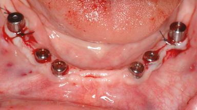
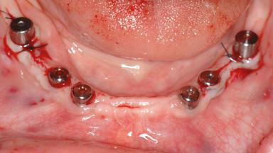
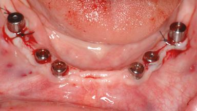
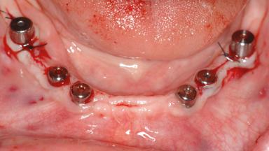
A 47-year-old woman who had suffered from aggressive periodontitis requiring a number of periodontal interventions over more than 10 years was referred by her general dental practitioner and periodontologist for bone augmentation and implant therapy. Her failing dentition had already been scheduled for extraction. The patient expressed a desire for implant-supported fixed restorations and esthetic improvement of her lower face. She had agreed to consult with a maxillofacial surgeon after the referring dentist had suggested bone augmentation. An initial examination by the maxillofacial surgeon revealed mobility of all residual teeth in a patient who was very unhappy with the function of her removable partial dentures. Due to periodontally migrated flaring teeth and loss of occlusal support, the vertical dimension of occlusion was dramatically reduced. The patient was displeased with her lower face because of deepened nasolabial, commissural, and supramental folds.
- Surgical SAC classification
- Complex
- Prosthodontic SAC classification
- -
- Source
- Treatment Guide 7
- Purchase price
- 10 Academy Coins
- CPD/CME
- 0.25 hours
Share this page
Download the QR code with a link to this page and use it in your presentations or share it on social media.
Download QR code