Conventional Loading of Eight Implants in the Maxilla and Final Restoration with a Full-Arch Gold-Ceramic FDP - Clinical Case Report - Home
Clinical Case Report
Conventional Loading of Eight Implants in the Maxilla and Final Restoration with a Full-Arch Gold-Ceramic FDP
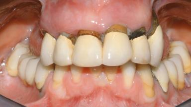
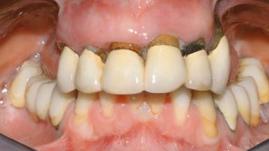
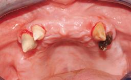
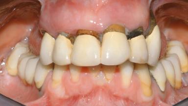
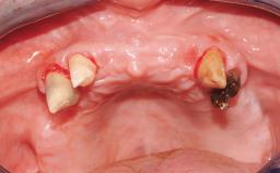
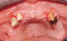
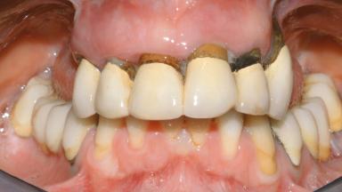
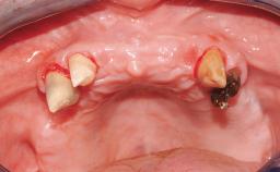
A 35-year-old Caucasian female presenting with advanced periodontal disease involving both the maxillary and the mandibular dentition was referred for evaluation. The patient, a non-smoker in good general health, requested treatment for recurrent periodontal abscesses, tooth mobility, and discomfort during chewing, as well as restoration of her missing teeth with a fixed prosthesis to improve mastication and esthetics. All residual maxillary teeth exhibited plaque deposits, deep pockets, bleeding on probing, and class III mobility and were evaluated as hopeless. All residual mandibular teeth except tooth 37 could be maintained after periodontal therapy.
- Surgical SAC classification
- Complex
- Prosthodontic SAC classification
- Complex
- Source
- Treatment Guide 4
- Purchase price
- 10 Academy Coins
- CPD/CME
- 0.25 hours
Share this page
Download the QR code with a link to this page and use it in your presentations or share it on social media.
Download QR code