Case

4.0The average rating is 4 stars out of 5.

Maxillary Complete Denture and Mandibular Overdenture on Two Implants with Universal Design

Richard Leesungbok

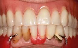
A 78-year-old female patient was referred by the Department of Neurosurgery to the Department of Biomaterials and Prosthodontics of Kyung Hee University Dental Hospital, Gangdong, Seoul, South Korea. The patient was suffering from facial nerve palsy due to an ischemic stroke that had left parts of her eye, chin, lip, tongue, and extremity paralyzed. She had been wearing maxillary and mandibular complete dentures for 10 years, but after the stroke they were not suitable anymore as her mandibular denture became dislodged during function. In our aging society, dentures for the disabled and elderly are crucial in terms of patient satisfaction and health-related quality of life. Patients suffer from chronic and severe disorders, and elderly/disabled patients need special dental care. The provision of dentures using a minimally invasive treatment approach and a universal design are important issues (Leesungbok 2004).

Surgical SAC classification
Straightforward
Prosthodontic SAC classification
Advanced
Source
Treatment Guide 9
Purchase price
10 Academy Coins
CPD/CME
0.25 hours

General information

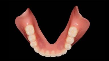
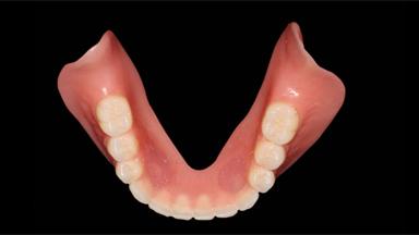
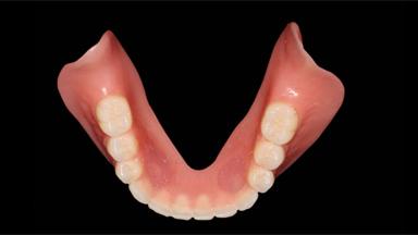
Case Type Edentulous Mandible
Jaw Mandible
Area Full-Arch
# of Teeth All
# of Implants 2
Type of Implants One-Piece
Attachment One-Piece
Bone Augmentation No
Augmentation Materials -
Guided Surgery No
Soft Tissue Grafting None
Abutment Type Standard
Prosthesis Type RDP

Esthetic Risk Assessment

Esthetic Risk Factors Low Medium High
Medical Status Healthy Compromised
Smoking Habit Non-smoker Light smoker (< 10 cigarettes per day) Heavy smoker (>= 10 cigarettes per day)
Patient's Esthetic Expectations Low Medium High
Lip Line No exposure of papillae Exposure of papillae Full exposure of mucosa margin
Periodontal Phenotype Low-scalloped, thick Medium-scalloped, medium-thick High-scalloped, thin
Shape of Tooth Crowns Rectangular Triangular
Infection at Implant Site None Chronic Acute
Bone Level at Adjacent Teeth <= 5 mm to contact point 5.5 to 6.5 mm to contact point > 7 mm to contact point
Prosthodontic Status of Neighboring Teeth Virgin Restored
Width of Edentulous Span 1 tooth (>= 7 mm) 1 tooth (< 7 mm) 2 teeth or more
Soft Tissue Anatomy Intact Defective
Bone Volume Horizontally and vertically sufficient Horizontally deficient Deficient vertically or deficient vertically AND horizontally
  • * General SAC assessment modifiers that are also part of the ERA. To avoid redundancy they are listed in this section even if no complete ERA has been made.

  • ** Not applicable to the ERA of immediate placement cases and replaced by "Socket Integrity" listed below under "Surgical SAC Classification". For all other placement types this value is a classification determinant and listed here even if no complete ERA has been made.

Surgical SAC classification

SAC Level Straightforward
Defining Characteristics Fully edentulous lower jaw to be rehabilitated with two or more implants
Modality 2 interforaminal implants
Placement Protocol -
Tooth Site -
Socket Morphology -
Socket Integrity -
Bone Volume Horizontally and vertically sufficient
Anatomic Risk Low
Esthetic Risk Low
Complexity Low
Risk of Complications Low

Prosthodontic SAC classification

SAC Level Advanced
Defining Characteristics Fully edentulous lower jaw to be rehabilitated with an implant-borne removable overdenture
Loading Protocol Immediate
Retention - -
Maxillomandibular Relationship -
Mesio-Distal Space -
Inter-Arch Distance -
Bruxism Absent
Esthetic Risk Low
Provisional Implant-Supported Prosthesis - -
Interim Prosthesis during Healing - -
Occlusion/Articulation -
Occlusal Scheme/Issues Balanced

Surgical SAC Modifiers

Periodontal Status History of periodontitis or genetic predisposition

Prosthodontic SAC Modifiers

Soft Tissue Contour and Volume -

General SAC Modifiers

Oral Hygiene and Compliance Sufficient
Access Adequate
Craniofacial/Skeletal Growth Completed
Publication date: Dec 20, 2016 Last review date: Dec 14, 2023 Next review date: Dec 14, 2026

ITI QR code Mvc

Share this page

Download the QR code with a link to this page and use it in your presentations or share it on social media.

Download QR code
QR code