
Soft-Tissue Augmentation Using a Porcine-Derived Collagen Matrix to Correct a Labial Soft-Tissue Defect Following Extraction of a Maxillary Incisor - Clinical Case Report - Home
Clinical Case Report
Soft-Tissue Augmentation Using a Porcine-Derived Collagen Matrix to Correct a Labial Soft-Tissue Defect Following Extraction of a Maxillary Incisor
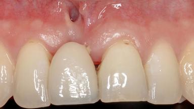
In this case, Shakeel Shahdad employs a two-layer matrix to repair a soft-tissue defect in a post-extraction healed site prior to implant placement with simultaneous guided bone regeneration. This approach resulted in a gain of keratinized peri-implant mucosa with optimal shade and texture. Soft-tissue defects are often encountered prior to implant placement and may result in deficient attached keratinized mucosa, which unless corrected will yield less than ideal esthetic outcomes. The presence of keratinized mucosa has been proposed as one of the prognostic factors for the survival of dental implants (Adell and coworkers 1986) with reported greater reductions in gingival and plaque indices after increasing the width of keratinized mucosa by soft-tissue augmentation (Giannobile and coworkers 2018; Thoma and coworkers 2018).

- Surgical SAC classification
- Advanced
- Prosthodontic SAC classification
- Complex
- Source
- Treatment Guide 12
- Purchase price
- 10 Academy Coins
- CPD/CME
- 0.25 hours
Share this page
Download the QR code with a link to this page and use it in your presentations or share it on social media.
Download QR code