 
                                    Replacement of Multiple Teeth in a Partially Dentate Posterior Maxilla with Crowns Using a Conventional Loading Protocol - Clinical Case Report - Home
Clinical Case Report
Replacement of Multiple Teeth in a Partially Dentate Posterior Maxilla with Crowns Using a Conventional Loading Protocol
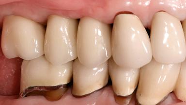
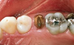
In 2004, an 84-year-old female patient presented at our practice with a hopeless prognosis for her maxillary right first and second premolars. These teeth were supporting a three-unit fixed dental prosthesis and had a cantilevered pontic replacing the first molar. Both teeth had combined endodontic and periodontal lesions, with significant bone loss in the area. The patient also had a large maxillary sinus apical to the first molar site. The patient presented with normal facial form and upon normal smiling, she displayed the affected area. She reported mobility and pain with mastication. The fixed dental prosthesis displayed severe mobility and could be depressed into the alveolar sockets. Exudate was evident around both abutments. There were no significant medical problems reported and the patient reported taking no medications.
 
                    - Surgical SAC classification
- Complex
- Prosthodontic SAC classification
- Straightforward
- Source
- Treatment Guide 2
- Purchase price
- 10 Academy Coins
- CPD/CME
- 0.15 hours
Share this page
Download the QR code with a link to this page and use it in your presentations or share it on social media.
Download QR code 
                                     
                                    