Replacement of Four Incisors with a Fixed Partial Denture on Two Narrow-Neck Implants after Implant Failure - Clinical Case Report - Home
Case
4.0The average rating is 4 stars out of 5.
Clinical Case Report
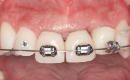
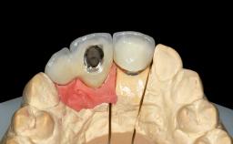
Replacement of Four Incisors with a Fixed Partial Denture on Two Narrow-Neck Implants after Implant Failure
- Surgical SAC classification
- Complex
- Prosthodontic SAC classification
- Complex
- Source
- Treatment Guide 6
- Purchase price
- 10 Academy Coins
- CPD/CME
- 0.15 hours
Recommended content
General information
| Case Type | Extended Space |
|---|---|
| Jaw | Maxilla |
| Area | Anterior |
| # of Teeth | 4 |
| # of Implants | 2 |
| Type of Implants | One-Piece|Reduced-Diameter |
| Attachment | One-Piece|Reduced-Diameter |
| Bone Augmentation | Horizontal|Staged|Vertical |
|---|---|
| Augmentation Materials | Autogenous block(s)|Xenogenous|Membrane |
| Guided Surgery | No |
| Soft Tissue Grafting | None |
| Abutment Type | Standard |
| Prosthesis Type | FDP |
Esthetic Risk Assessment
| Esthetic Risk Factors | Low | Medium | High |
|---|---|---|---|
| Medical Status | Healthy | Compromised | |
| Smoking Habit | Non-smoker | Light smoker (< 10 cigarettes per day) | Heavy smoker (>= 10 cigarettes per day) |
| Patient's Esthetic Expectations | Low | Medium | High |
| Lip Line | No exposure of papillae | Exposure of papillae | Full exposure of mucosa margin |
| Periodontal Phenotype | Low-scalloped, thick | Medium-scalloped, medium-thick | High-scalloped, thin |
| Shape of Tooth Crowns | Rectangular | Triangular | |
| Infection at Implant Site | None | Chronic | Acute |
| Bone Level at Adjacent Teeth | <= 5 mm to contact point | 5.5 to 6.5 mm to contact point | > 7 mm to contact point |
| Prosthodontic Status of Neighboring Teeth | Virgin | Restored | |
| Width of Edentulous Span | 1 tooth (>= 7 mm) | 1 tooth (< 7 mm) | 2 teeth or more |
| Soft Tissue Anatomy | Intact | Defective | |
| Bone Volume | Horizontally and vertically sufficient | Horizontally deficient | Deficient vertically or deficient vertically AND horizontally |
* General SAC assessment modifiers that are also part of the ERA. To avoid redundancy they are listed in this section even if no complete ERA has been made.
** Not applicable to the ERA of immediate placement cases and replaced by "Socket Integrity" listed below under "Surgical SAC Classification". For all other placement types this value is a classification determinant and listed here even if no complete ERA has been made.
Surgical SAC classification
| SAC Level | Complex |
|---|---|
| Defining Characteristics | More than three missing teeth to be replaced with an implant-borne prosthesis or prostheses |
| Modality | - |
| Placement Protocol | Early or late implant placement |
| Tooth Site | - |
| Socket Morphology | - |
| Socket Integrity | - |
| Bone Volume | Deficient vertically or deficient vertically AND horizontally |
| Anatomic Risk | High |
| Esthetic Risk | High |
| Complexity | High |
| Risk of Complications | High |
Prosthodontic SAC classification
| SAC Level | Complex |
|---|---|
| Defining Characteristics | Up to three missing teeth to be replaced with an implant-borne restoration or restorations |
| Loading Protocol | Conventional or early |
| Retention | Screw-retained, with splinted implants Screw-retained, with splinted implants |
| Maxillomandibular Relationship | - |
| Mesio-Distal Space | Adequate for the replacement of all missing teeth |
| Inter-Arch Distance | - |
| Bruxism | Absent |
| Esthetic Risk | High |
| Provisional Implant-Supported Prosthesis | Prosthodontic margin >3 mm apical to mucosal crest Prosthodontic margin >3 mm apical to mucosal crest |
| Interim Prosthesis during Healing | Removable Removable |
| Occlusion/Articulation | Harmonious |
| Occlusal Scheme/Issues | - |
Surgical SAC Modifiers
| Periodontal Status | Healthy |
|---|
Prosthodontic SAC Modifiers
| Soft Tissue Contour and Volume | Significantly deficient |
|---|
General SAC Modifiers
| Oral Hygiene and Compliance | Good |
|---|---|
| Access | Adequate |
| Craniofacial/Skeletal Growth | Completed |
Publication date: Dec 21, 2015
Last review date: Dec 14, 2022
Next review date: Dec 14, 2025
- Clinical Case
- Treatment Guide 6
ITI QR code Mvc
Share this page
Download the QR code with a link to this page and use it in your presentations or share it on social media.
Download QR code