Maxillary Complete Denture and Mandibular Overdenture on Two Implants with Universal Design - Clinical Case Report - Home
Clinical Case Report
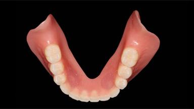
Maxillary Complete Denture and Mandibular Overdenture on Two Implants with Universal Design
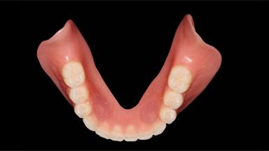
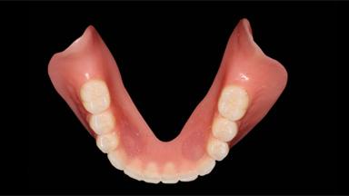
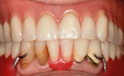
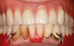
A 78-year-old female patient was referred by the Department of Neurosurgery to the Department of Biomaterials and Prosthodontics of Kyung Hee University Dental Hospital, Gangdong, Seoul, South Korea. The patient was suffering from facial nerve palsy due to an ischemic stroke that had left parts of her eye, chin, lip, tongue, and extremity paralyzed. She had been wearing maxillary and mandibular complete dentures for 10 years, but after the stroke they were not suitable anymore as her mandibular denture became dislodged during function. In our aging society, dentures for the disabled and elderly are crucial in terms of patient satisfaction and health-related quality of life. Patients suffer from chronic and severe disorders, and elderly/disabled patients need special dental care. The provision of dentures using a minimally invasive treatment approach and a universal design are important issues (Leesungbok 2004).
                    - Surgical SAC classification
 - Straightforward
 - Prosthodontic SAC classification
 - Advanced
 
- Source
 - Treatment Guide 9
 - Purchase price
 - 10 Academy Coins
 - CPD/CME
 - 0.25 hours
 
Share this page
Download the QR code with a link to this page and use it in your presentations or share it on social media.
Download QR code