Central Incisor Fracture - Clinical Case Report - Home
Clinical Case Report
Central Incisor Fracture
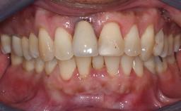
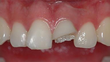
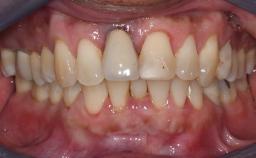
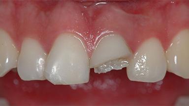
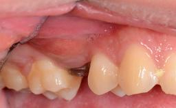
Assessment, treatment, and remarks on a Type 1 immediate implant replacement of an upper left central incisor with a vertical root fracture. A healthy, 21-year-old male patient presented with traumatic fracture of his upper left central incisor. The patient's gingival phenotype was classified as medium. The clinical image demonstrates the characteristics of a medium phenotype with long, thin dental papillae combined with thick attached gingival tissues. The tooth had both a vertical root fracture and a horizontal fracture of the crown, resulting in exposure of the pulp and loss of root integrity.
- Surgical SAC classification
- Complex
- Prosthodontic SAC classification
- Advanced
- Source
- User Case
- Purchase price
- 10 Academy Coins
- CPD/CME
- 0.25 hours
Share this page
Download the QR code with a link to this page and use it in your presentations or share it on social media.
Download QR code