Congress Lecture

4.0The average rating is 4 stars out of 5.
Prosthodontic Planning and Procedures

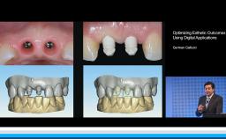
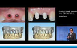
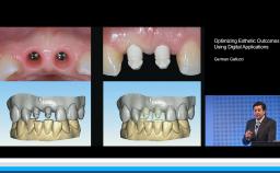
Abutment and Material Selection for Implant Restoration in the Digital Era

Chatchai Kunavisarut

This is a recording of Chatchai Kunavisarut's Webinar on ITI Academy live. Abutment selection as well as materials for final restoration have changed significantly in the past 10 years due to digital technology. This lecture will guide you through criteria for abutment and material selection to ensure long-term success. Pros and cons of each abutment type will be thoroughly discussed. Clinical tips and tricks will also be presented.

At the end of this Congress Lecture you should be able to…

  • name criteria for abutment and material selection
  • discuss pros and cons between each type of abutment
  • explain clinical tips for each type of abutment
  • describe possible complications for each type of abutment
Duration
52 minutes
Source
ITI Academy live webinar
CPD/CME
0 hours
Purchase price
0 Academy Coins
Publication date: Nov 28, 2022 Last review date: Nov 21, 2022 Next review date: Nov 21, 2025
  • Congress Lecture
  • English
  • Languages
  • Prosthodontic Planning & Procedures

ITI QR code Mvc

Share this page

Download the QR code with a link to this page and use it in your presentations or share it on social media.

Download QR code
QR code