
Surgical Management of Peri-Implantitis: Open-Flap Debridement with Seven-Year Follow-up After Treatment - Clinical Case Report - Home
Clinical Case Report
Surgical Management of Peri-Implantitis: Open-Flap Debridement with Seven-Year Follow-up After Treatment
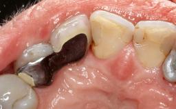
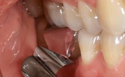
This case describes both a surgical and an anti-infective approach for the management of peri-implantitis, including treatment of the entire dentition to eliminate any deep periodontal pockets that could serve as reservoirs for bacterial re-colonization at the implant site. A 65-year-old female patient was referred to the periodontist in 2013 for assessment and management of an infection at implant 12. On examination, probing depths at implant 12 were 11 mm with suppuration and bleeding on probing.

- Surgical SAC classification
- -
- Prosthodontic SAC classification
- -
- Source
- Treatment Guide 13
- Purchase price
- 10 Academy Coins
- CPD/CME
- 0.25 hours
Share this page
Download the QR code with a link to this page and use it in your presentations or share it on social media.
Download QR code