Replacement of the Four Maxillary Incisors with a Fixed Dental Prosthesis Using an Early Loading Protocol - Clinical Case Report - Home
Clinical Case Report
Replacement of the Four Maxillary Incisors with a Fixed Dental Prosthesis Using an Early Loading Protocol
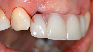
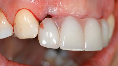
In March 2004, a 46-year-old female patient presented, seeking options to replace her existing acrylic maxillary removable partial denture, which replaced the four maxillary incisor teeth. She had been wearing this partial denture for approximately 15 years, the teeth having been extracted when the patient was in her early twenties. She did not want a further removable prosthesis as she was unhappy with the appearance of the flange on the denture. She was interested in exploring options for a fixed solution as long as the esthetic outcomes were not adverse. The patient was in good health, with no systemic contraindications to implant therapy. She had good oral hygiene and was a well-motivated individual with sound natural teeth and healthy periodontal support.
- Surgical SAC classification
- Advanced
- Prosthodontic SAC classification
- Straightforward
- Source
- Treatment Guide 2
- Purchase price
- 10 Academy Coins
- CPD/CME
- 0.15 hours
Share this page
Download the QR code with a link to this page and use it in your presentations or share it on social media.
Download QR code